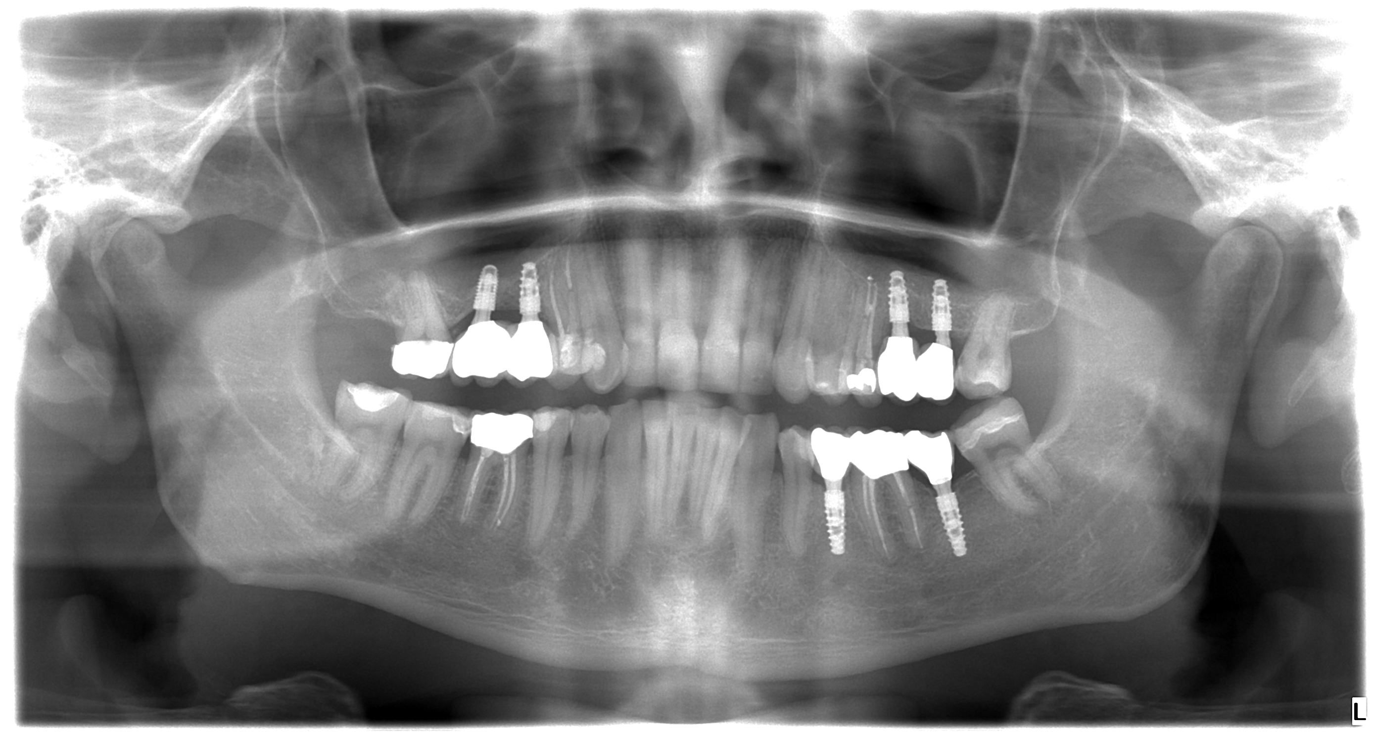
Mr. Peter’s (32 years old) wish was to have nice and bright smile. Dr. Martin made a treatment plan during consultation which contained 6 dental implants (4 for upper jaw and 2 for lower jaw), one tooth extraction, 5 re-root canal treatments and 12 dental crowns. After our patient left the examinaton room, our staff discussed every detail of treatment with him and Mr. Peter made a booking for an implant appointment with Dr.Martin in just 2 weeks after the consultation.
The surgery began with the extraction of tooth number 26 and bone graft on the upper jaw. It continued with implantation on 27, 26, 16 and 15 on upper jaw and 35 and 37 on lower jaw.
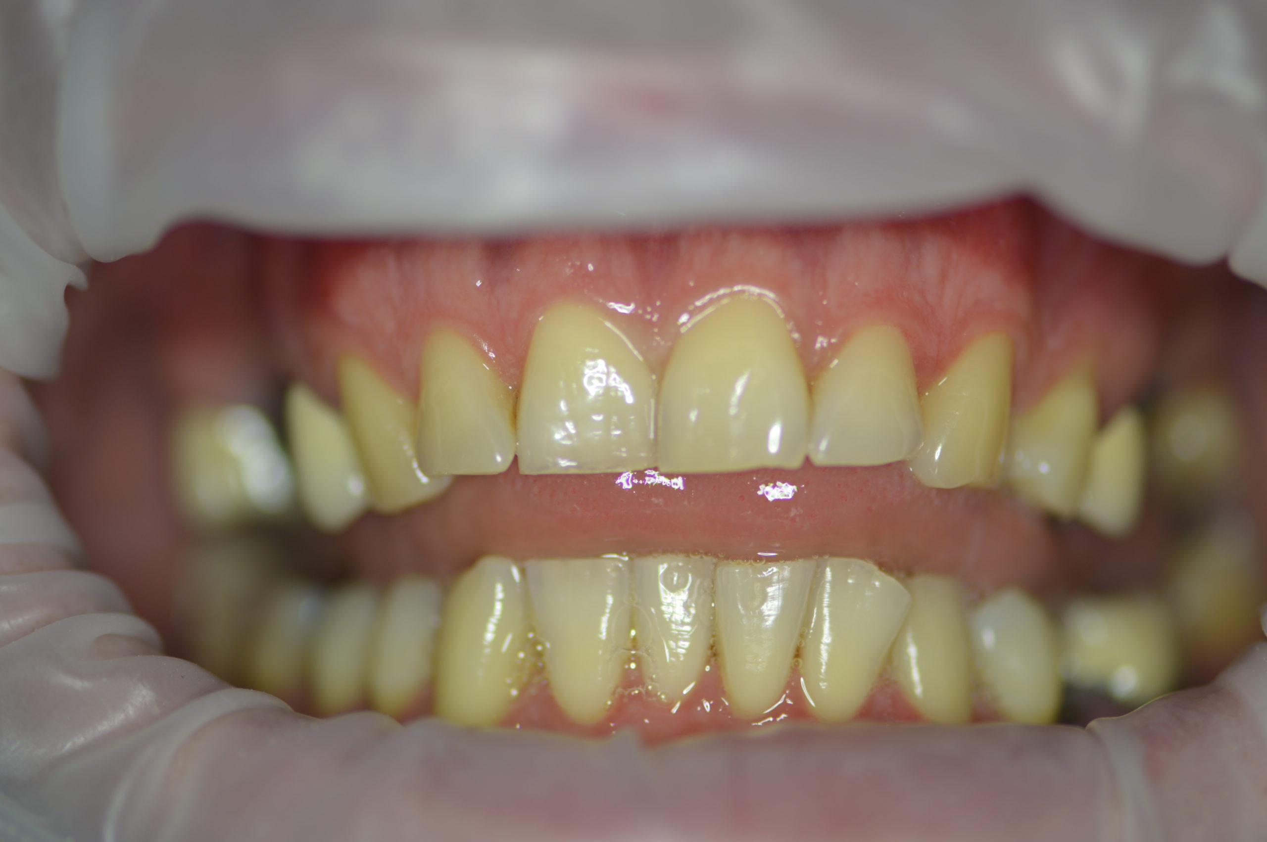
3,5 months after implantation, Mr. Peter returned to our dental clinic to continue his treatment with four re-root canal procedures. Doctor decided to gave the implants more time for healing so the patient returned in 2 months to get his front natural teeth reshaped and get impressions for his future implant crowns and zirconium dental crowns.
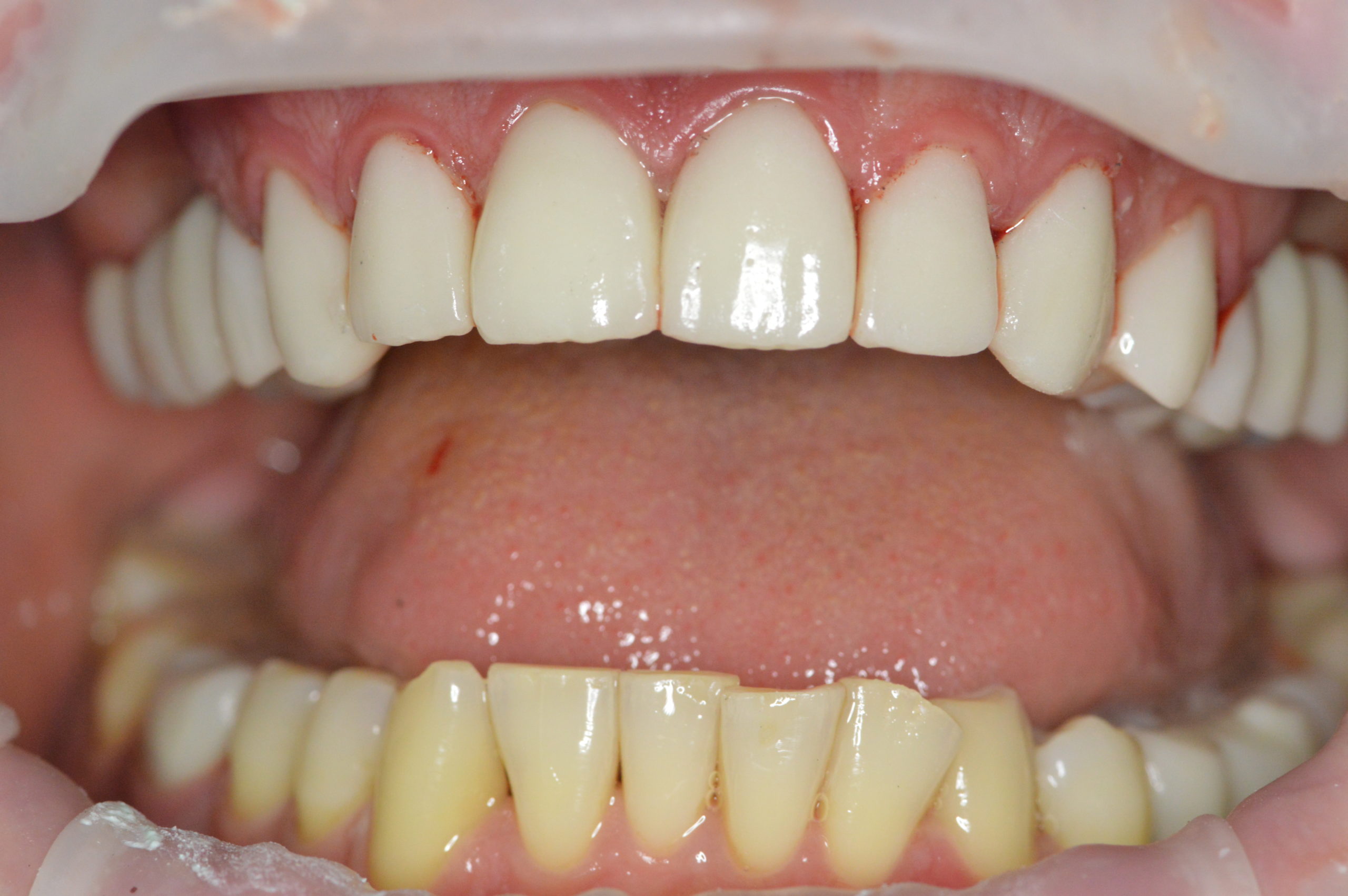
After his next visit, Mr. Peter left our clinic with this beautiful and natural looking smile. His upper jaw was fully reconstructed using dental implants in combination with dental crowns. His lower jaw was treated with 2 dental implants and two zirconium dental crowns.
Peter continues to visit our clinic to get treatment for his lower teeth. We have already done 3 fillings and one root canal treatment. We are happy that we could help Peter achieve a good looking and healthy smile.
The translation of Peter´s testimonial:
I want to give a big Thank you to the whole Smile Clinic team and especially to Dr. Kafka for his very friendly and very professional attitude. Also for his patience with all the questions. I am more than satisfied with the treatment I got and I could recommend Smile Clinic without any doubts to everyone who is seeking the best dental clinic in Slovakia. During every treatment I had the feeling that I put myself in the hands of the most professional doctors I ever could. With the final result I am more than satisfied. Thank you.”



