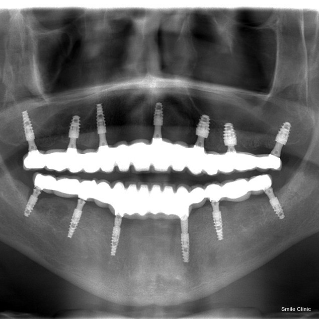
What happens when we do an x-ray and see this? (see the x-ray on the left)
Well, usually it’s time to get a set of false choppers, and put them in a glass by your bed each night – you know that you’ve passed that special stage in life – and it’s often very depressing.
People with no teeth left at all are called “edentulous” by dentists. The problems is, the longer some one wears dentures – the jawbone recedes even more and the face sinks.
Thankfully, many of our patients like George here, don’t let age get the better of them, and can laugh, smile, joke about, kiss and eat as much as they want without worrying about their teeth.
In fact, it’s often better than a real set!
For this patient we placed 13 dental implants to support 14 porcelain crowns as bridgework on both the upper and lower jaw in 3 short visits over half a year.
Here’s what he had to say about his dental treatment abroad with us at the Smile Clinic in Slovakia:
Very happy with the work that has been done, having working teeth again was my goal and now I have them. All of the people here have been very friendly and helpful and also very professional. I will have no hesitation in recommending the Smile Clinic to friends and family.“



