John was referred to us by his lovely sister, who recently had her dental treatment successfully completed with us in 2015. John had just a few missing teeth, but he noticed that existing teeth were breaking up over the past 12 months. He was therefore looking for a permanent solution, one that would last the rest of his days without having to visit the local dentist for continual repairs.
John came to us 3 times over the course of half a year with a cheap flight via Ryanair.com. His wife came along too who enjoyed having a little getaway each time.
This is what John said that he would tell others when asked about his dental treatment abroad:
Very professional from start to finish. Very friendly staff. Excellent dentistry work. Made to feel very at ease throughout treatment. Very superior practice. Will definitely recommend.“
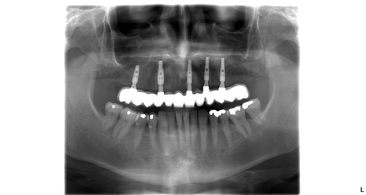
After his initial dental consultation done on the day of his 1st visit to us, our implantologist Dr. Marek prepared a personalized treatment plan for John, which included a 12 unit ceramic bridge fitted on 5 dental implants.
See the immediate change after first visit.
Here’s John with his new final smile:






