
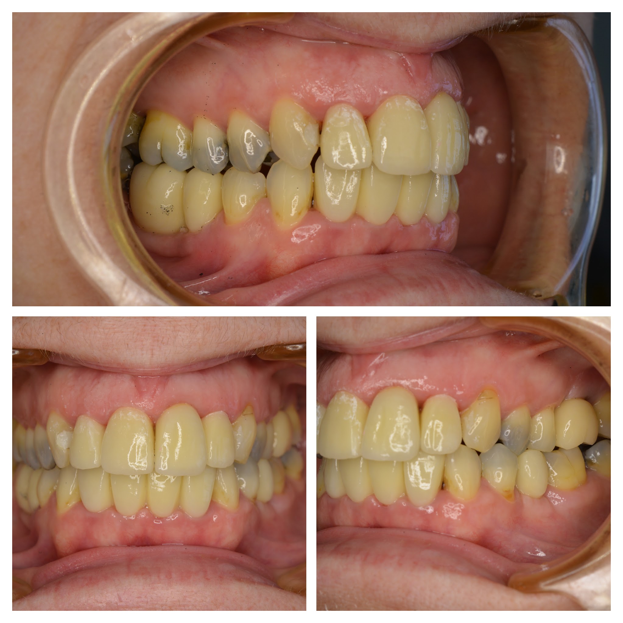
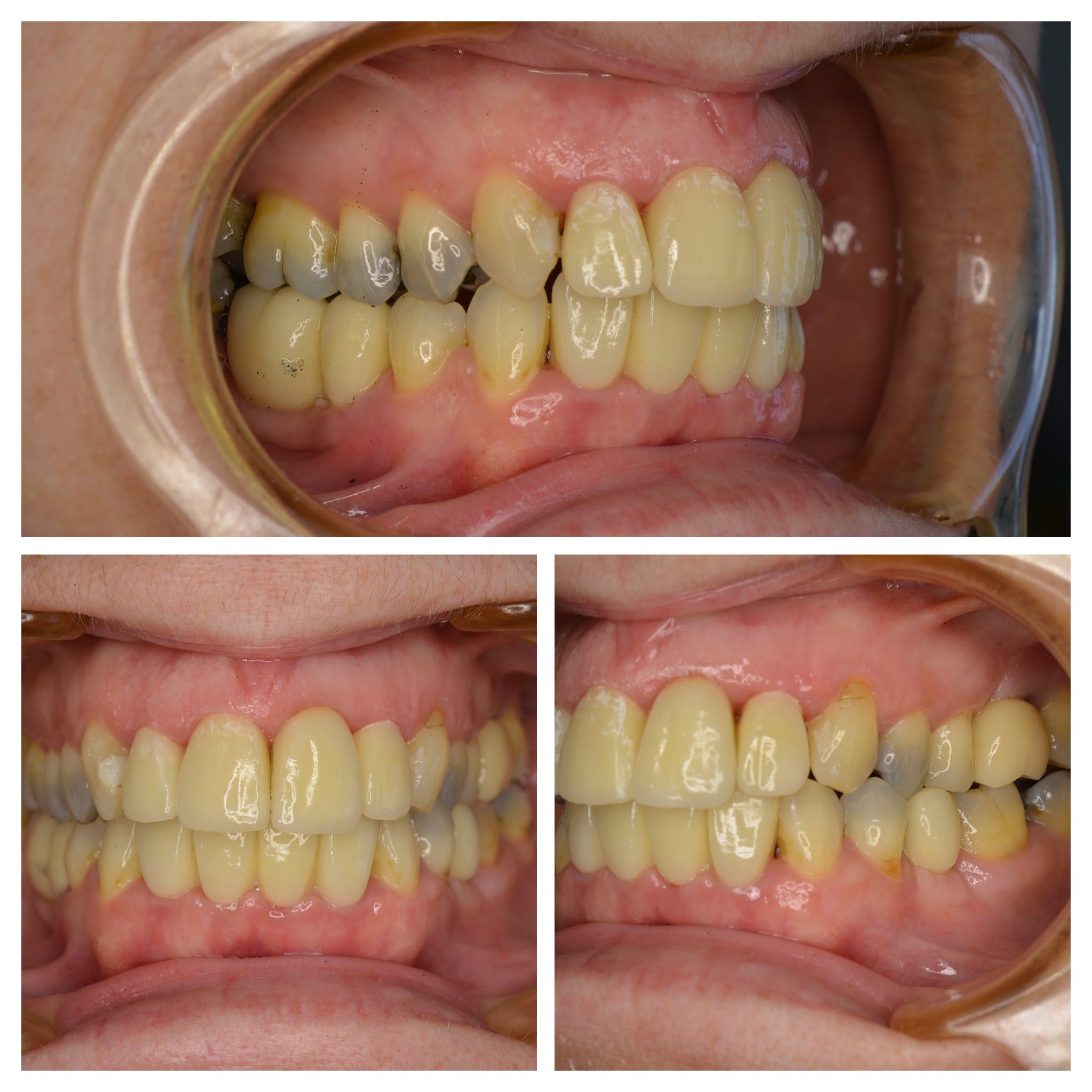
Jan from Austria initially contacted us in mid 2014, but as “life and work” got in the way (as it does for us all), she finally started the necessary treatment with us at the end of 2016 for 7 dental implants and some bridgework.
She was looking for a very “natural smile” that would be healthy, but not change her overall “look” at all.
Coming to us through Vienna by train, she was picked up each time by our driver at the station. Jan completed her treatment in April 2017 and said this about her Dental Holiday with Smile Clinic in Slovakia:
I chose the clinic from the professional website and found it to be a true picture of “what you get” – friendly faces, efficient, helpful, modern clinic, top notch equipment, top-notch service.
I am already thinking of some more cosmetic work in the future and would without doubt recommend Smile Clinic to anyone who asked.”

