
No way Jose! This week’s featured patient from London is 77 years old, and we’ve placed dental implants in many patients older than that with great life improvements achieved up to this very day.
Michael was referred to us by a former patient of Dental Holiday and as it typical for many men of his age – he came to us wearing false teeth that he was very unhappy with – despite his amazing sense of humour – he had us all laughing in the clinic every time!
His dentures were loose and mobile, limited food choice, reduced normal healthy digestion, reduced bite force and taste of food. These were some of the main reasons for Michael to say enough is enough and decide to travel to us to have his dental implants done with us at Smile Clinic in Slovakia.
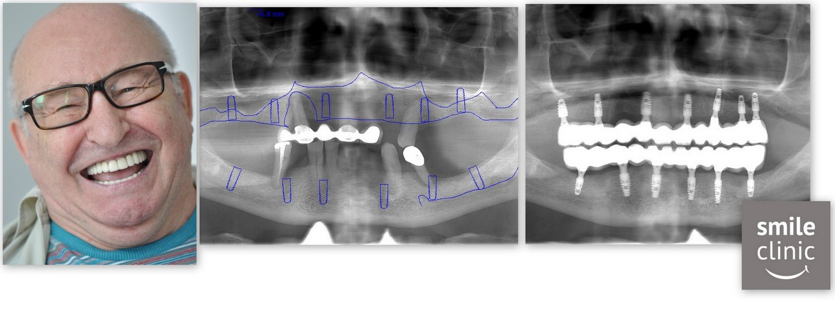
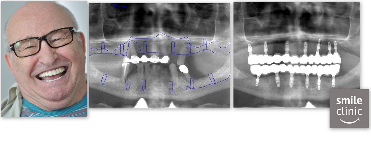
Michael wanted to have both his upper and lower dental implants done on his first visit to us.
After the first consultation with our head implantologist and treatment planing with our treatment coordinator we began the dental treatment on the very next day after his arrival.
First we placed 6 lower jaw dental implants and 7 upper jaw dental implants were placed on the next days. We find this currently to be the best way how to plan the treatment for the patient so that we can reduce chair time for them.
A full arch of immediate temporary teeth were placed on his first visit to us as well, so that he could go home an immediately start smiling from day 1.
From start to finish this whole upper and lower jaw reconstruction took 5 months to complete.
