Janice had regrettably worn a partial denture for several years. Even though it was uncomfortable, it still served her reasonably well to put up with for some time as she felt very nervous about having further dental treatment in the UK. That was until her friend who had previously had dental implants placed by Dr. Marek in Slovakia recommended that she come over to Dental Holiday to replace the denture with permanent teeth again. Her friend told her that at Dental Holiday you’re in safe hands.
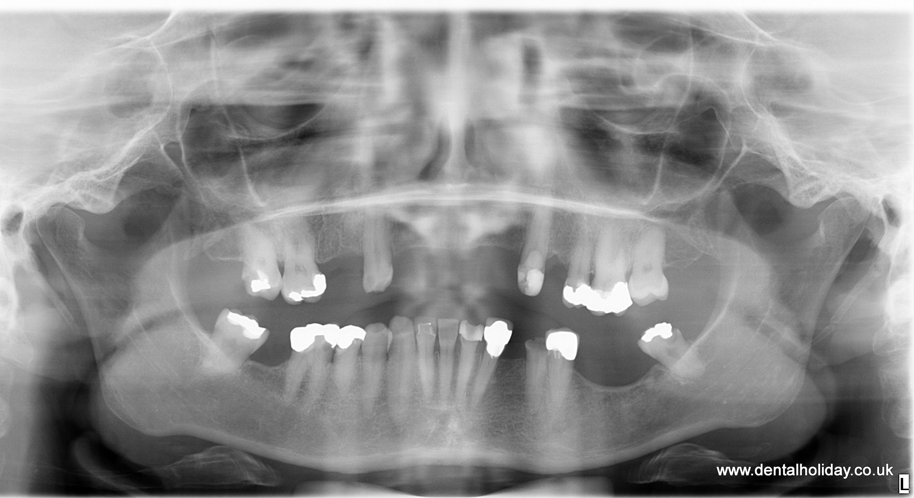
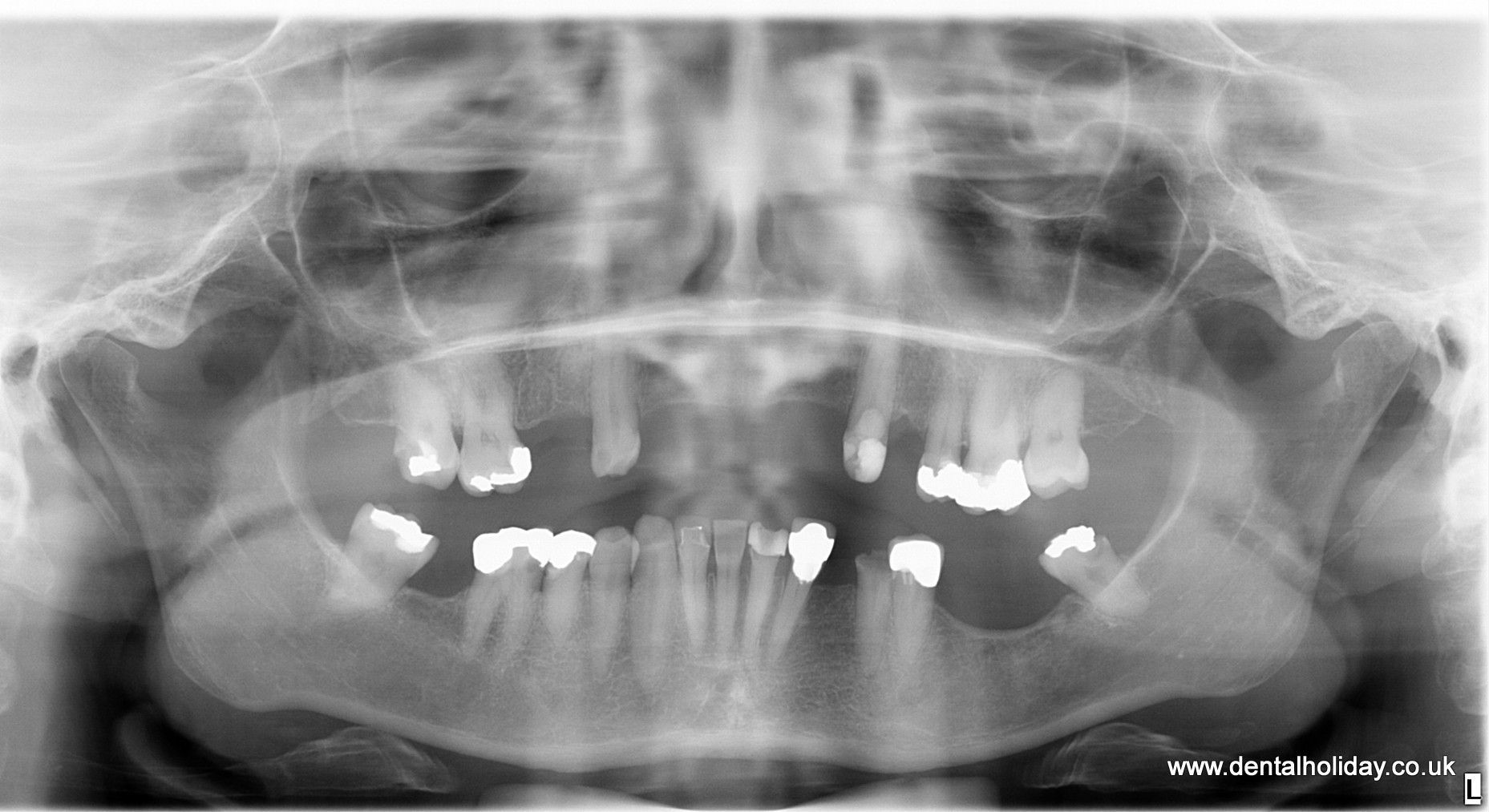
This case study details exactly how Janice’s dental treatment abroad progressed and here are the x-rays before and after for you to see before you read how the treatment progressed.
As we had already been made aware of Janices’ fear of having dental treatment, we suggested to have her dental treatment done under general anesthetic.
For those considering having general anesthetic for dentistry abroad there are some important points to follow:
- Must travel with an adult
- Must stay overnight after the treatment
- No food or drink on the day before the procedure
Janice had her initial consultation together with our implantologist Dr.Marek, along with the CBCT Scan done in our clinic which we use for treatment planning.
Janice wanted to have full upper and lower jaw replacement with dental implants, so Dr.Marek due to the weak bone structure that was present, planned to place 6 dental implants for her upper jaw and 6 dental implants for her lower jaw together with a 12 unit non-removable ceramic bridge fitted over upper and lower dental implants. The overall healing after the implant placement was advised for 3 months.
Janice agreed to the proposed treatment plan and we started preparation for her treatment. Here in Slovakia, we organize a general health check for each general anesthetic the day or morning before treatment takes place.
Dental impressions were taken before her treatment had begun so that a temporary bridge could be made in time to worn immediately after implantation, meaning that she left our clinic, with already improved teeth that she could function normally with – even during the healing process.
On the next day after the dental consultation and health check she began her dental treatment at the clinic. While she was asleep, all her upper and lower dental implants were placed during general anaesthetic and the temporary bridge was fitted.

Another visit was scheduled for 3 months later for impressions to be made of her teeth. At this stage shape and shade of her teeth were discussed. For the permanent bridge work to be completed our on-site dental technicians need approximately 3 weeks. Therefore on her 3rd visit a few weeks later her ceramic teeth were fitted, and the case complete.
On the left you’ll see the written testimonial from Janice. For her treatment in our clinic she rated us 10/10 🙂
Not to worry, you’re in safe hands.”


