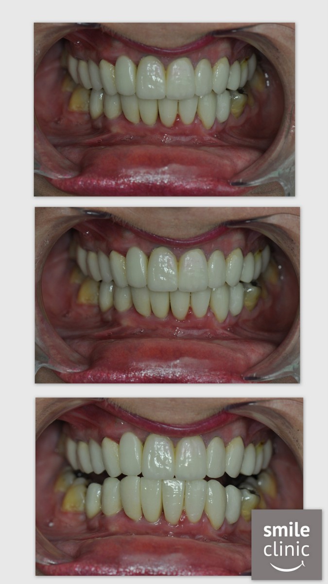
Heather is another wonderful patient who decided to return to us for more treatment, 6 years after she had dental implants with us – she decided it was time to complete the smile.
Have a look at these great results:
Feel free to reach out to your assigned treatment coordinator, who has been with you throughout your patient journey with us. Their contact information is included in the treatment documentation provided to you.If you've misplaced the name or contact details of your assigned treatment coordinator, kindly fill out this form with your questions, and we will get back to you at our earliest convenience.
To determine whether you are suitable for treatment at Smile Dental Implant Clinic, please fill out this short form, and we'll get back to you within 24 hours or call us now on +421 949 007 179.
To determine whether you are suitable for treatment at Smile Dental Implant Clinic, please fill out this short form, and we'll get back to you within 24 hours or call us now on +421 949 007 179.