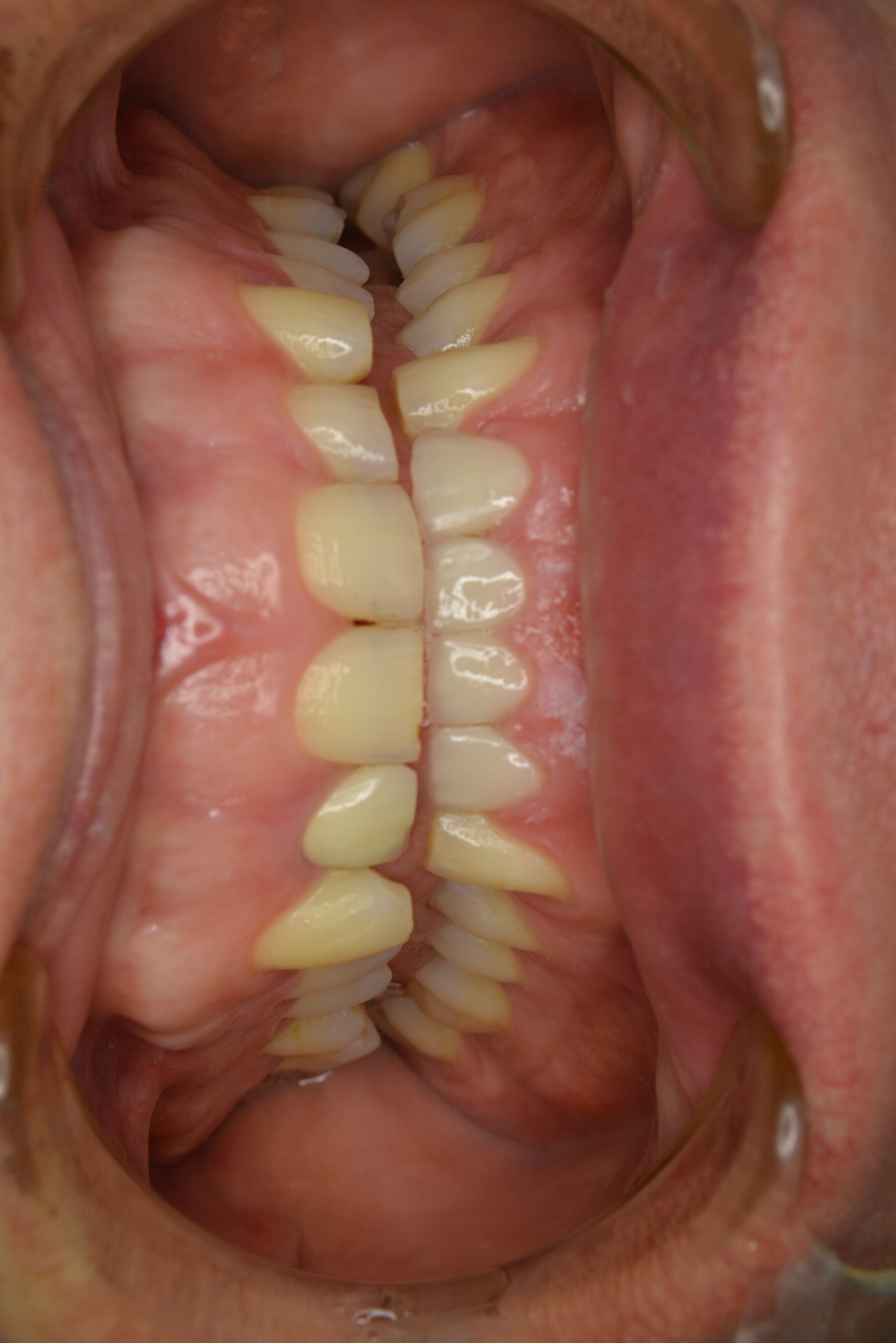
I’ve always had small teeth. But in the 40-odd years that I’ve had my adult teeth, I’ve managed to wear them out a bit. Well, quite a bit. And my dentist referred me to a restorative dentist in 2011. After much examination and photography, I was presented with a report which told me that I needed to have four crowns on my lower incisors fairly urgently and six further crowns on my top incisors at some point after that.”
So begins the excellent account on Nigel’s blog of his visit out to us to replace 4 teeth on his bottom jaw with the latest emax specialised crowns.
Minor tooth grinding during sleep often results in this problem later on in life. For those early on in life a night guard is recommended, and for those already suffering from short and worn lower teeth, the teeth should be built up with crowns and a night guard should be worn from then on to keep them in shape.
Nigel’s visit was completed in just a few days, in which he took time to explore the local area with his wife and write about it on his blog.
Read the full story here on the times of our lives blog.

