
Vicky from the south of England sent us this photograph in early 2016. She’s a delightful Health, Lifestyle & Confidence Coach in her mid 40’s.
Unfortunately, her teeth were crumbling due to the effects of bulimia, smoking and alcohol over the past 20 years, even though for the past 10 years, she’d been fully committed to a healthy lifestyle. She was also avoiding eating good food that needs a lot of chewing because of the fear of more teeth falling out and this was affecting her overall health.
A very helpful dentist in London had managed to save and crown a couple of teeth, but he had retired and his replacement was not so great!
Vicky also mentioned that she was building a second business which entailed speaking on stage and she felt that she really needed to be confident and comfortable with her smile.
Vicky came over for her 1st visit to Smile Clinic in Slovakia in the summer for 3 nights and stayed in one our of self-catering apartments. On this visit, she had a free consultation and x-ray session and 5 dental implants were placed. A temporary bridge was fitted immediately so that Vicky could from day 1, start smiling normally again.
In October she came out to us once again for “impressions” (moulds) to be made on her dental implants and preparation work for the final crowns.
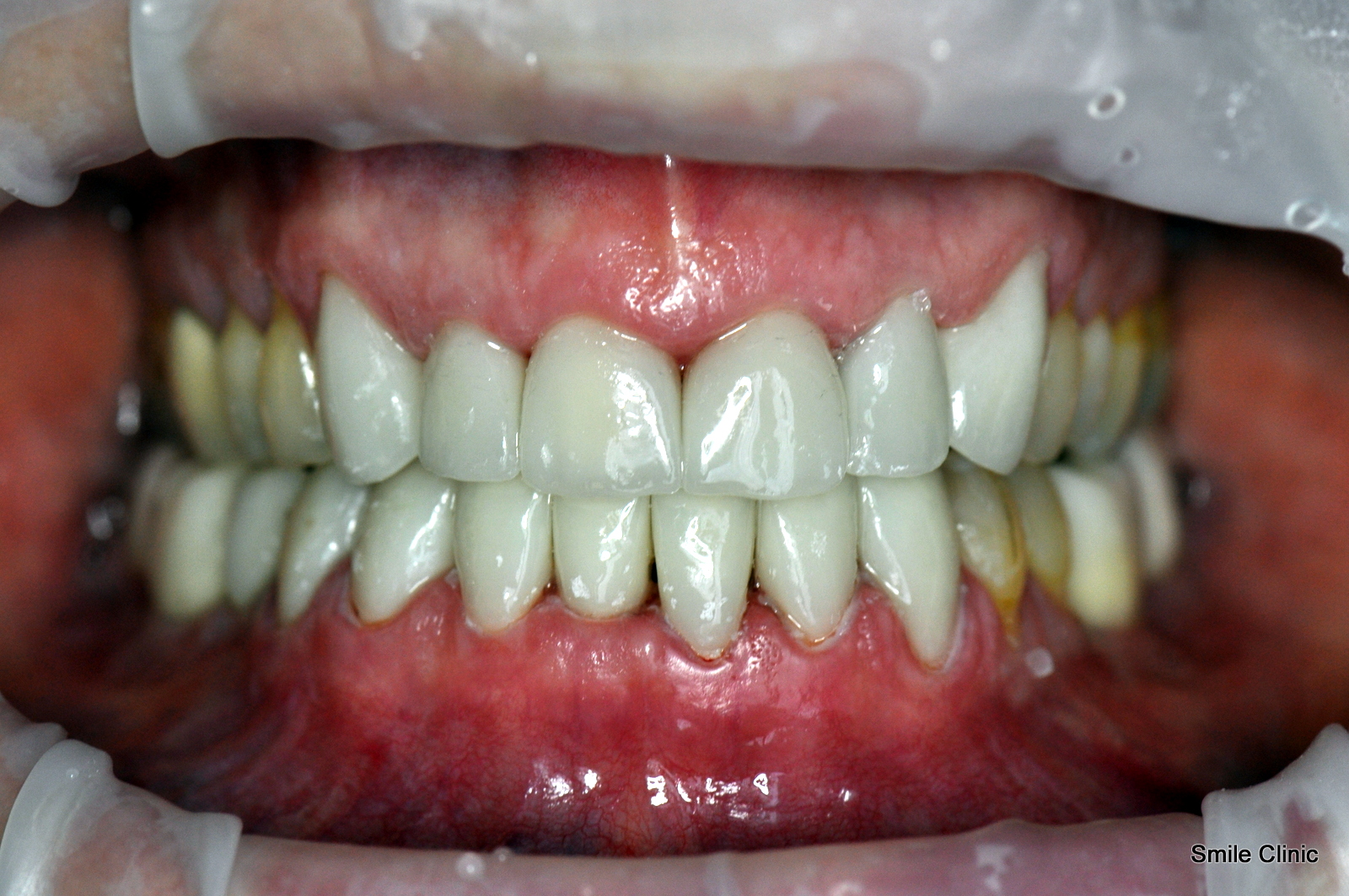
Treatment was completed in late November with the fitting of “Emax all porcelain crowns” and you can see the wonderful results in the photographs.
Here’s what Vicky had to say about her Dental Holiday:
I have lost teeth due to illness and watched my jawline drop. I am delighted to say my new Implants, crowns and veneers gave me confidence again. I can smile with my teeth on show.
The whole team of Smile Clinic, from my first contact by email, right through to the airport pick up and drop off has been outstanding. What a team.
I cannot recommend them highly enough.
Thank you everyone at Smile Clinic”
It’s amazing to see the life transformation that Vicky had already gone through in the years before her dental treatment with us.
We’re so glad that we could enhance that even more by doing a smile reconstruction for her, and we’re sure that the new smile will bring not only more healthy eating and lifestyle changes but also increase success in the new business she is developing.
All the best Vicky, it was a pleasure to have you in our clinic!
And if you’re a lady in the Finchley / Barnet area, and looking for a life change – be sure to check out Vicky here: http://fitnessfinchley.com/


