Lynne from Liverpool was very nervous about having dental treatment, let alone having the dental treatment done abroad.
She first plucked up the courage to contact us in September stating:
“I have an upper denture that is in terrible condition plus one wisdom tooth at the top. My teeth at the bottom are all completely rotten as I have a real fear of going to the dentist”.
As a GCR internationally accredited clinic that is certified to dental cases with patients that have dental phobia, these are the cases that our team likes the most, as the overall change for the patient is truly life-changing.
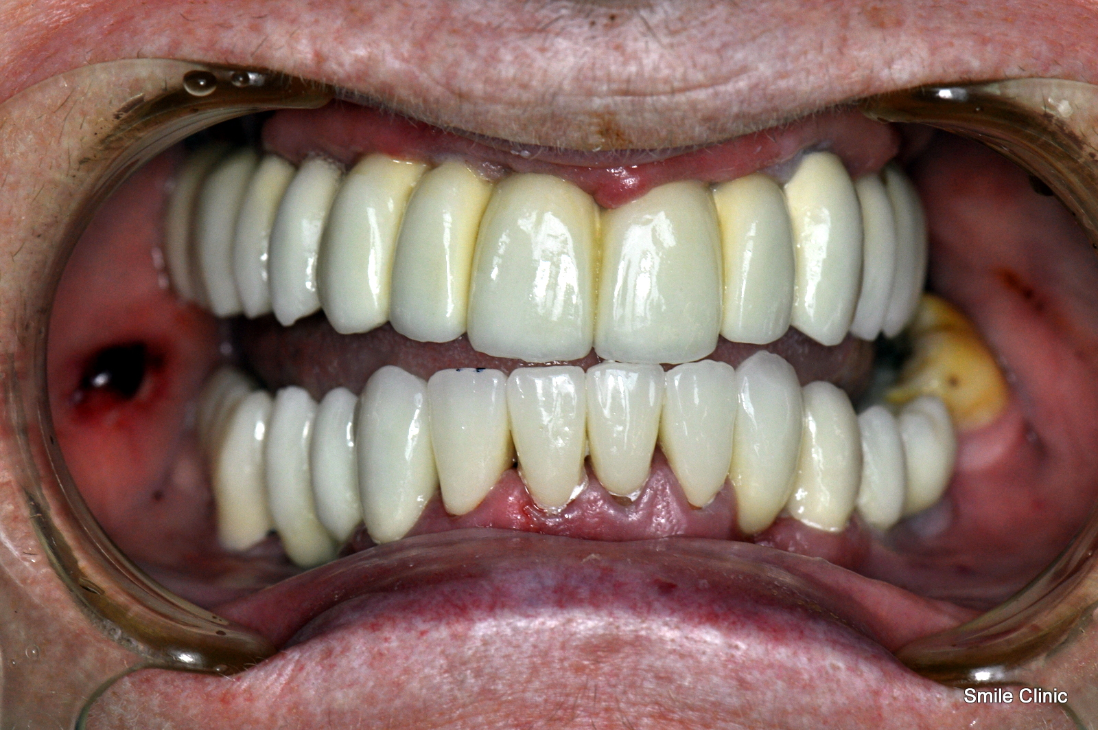
After over 100 email exchanges and a calming pill taken before treatment, in late November we finally got to begin our magic on Lynne’s smile. This involved placing 13 dental implants (7 to the upper jaw and 6 to the lower jaw) and then immediately replacing the denture and extracted teeth with a full semi-permanent bridge while the implants took 3-4 months to heal. (this specialty is only available in our clinic and included free with the overall treatment cost).
This amount of dental implants might sound like a lot, however especially in patients that have been using a denture (false teeth) for some time, the jawbone deteriorates and is not in the ideal condition to support a full jaw of teeth again. 2 visits later, 13 custom porcelain crowns in a bridge were created for both the upper and lower jaw – 26 in total as you can see from the x-ray here.
Each time she came across to us in Slovakia on a cheap flight with Ryanair from the UK, we picked her up from the airport and he stayed overnight with her husband in a villa on the pedestrian zone of our spa town – Piešťany.
Our team members on maternity leave were delighted to receive gifts from Lynne after her treatment was completed.
Here’s Lynne in her own words about her time with us:
Excellent treatment, I had major problems with my teeth and required a full reconstruction. The staff are excellent, so friendly and always helpful. Natalia really supported me, and I think at times I was not the easiest patient as I was nervous, but she was always there for me. But thank you all lots and lots. Lynne.”



