Caroline lost all her upper teeth by the age of 45. Wearing a removable denture was very complicated for her so she was living without any top teeth at all.
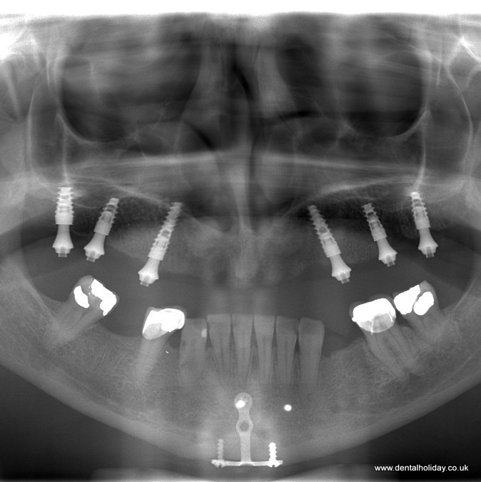
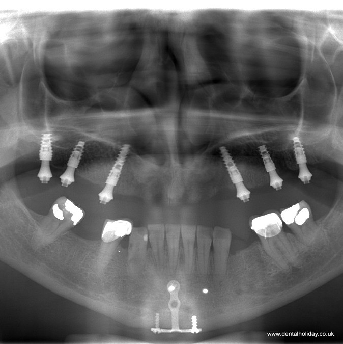
She came over with her daughter to visit us for a dramatic change. As you can see from her X-ray, there are no teeth in the upper jaw, and we placed 6 dental implants witch eventually supported 12 new teeth.
Immediately after her 1st visit to us we have made her a fixed removable bridge and she was crying with joy seeing herself with teeth after very long time.
She rated us 10/10 and had this to say about her experience with Dental Holiday:
I have already told people of the excellent service, value for money, cleanliness and all round service.“

