When your future husband tells you it’s time to get your teeth done, you listen.
Luckily for us, the future husband of this recent patient was one of our completed cases from a few years back, still satisfied and smiling.
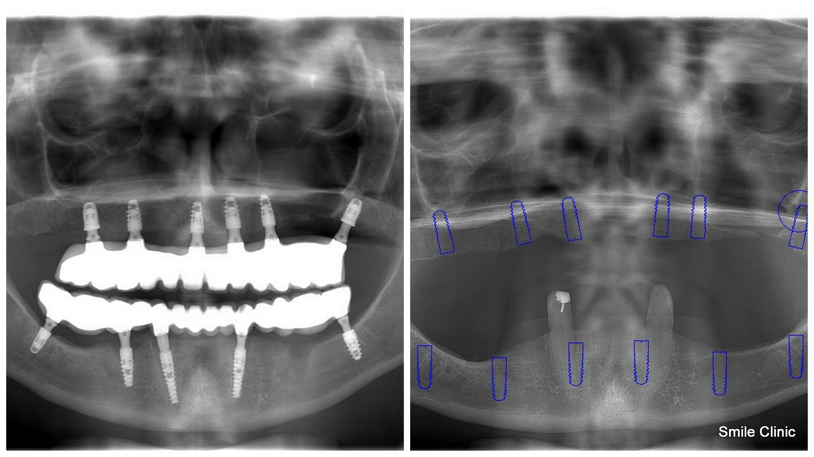
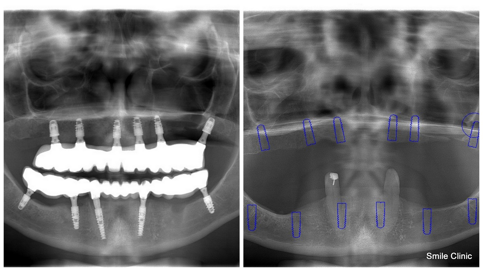
As you can see from the X-ray in this post, this soon-to-be-wed lady had almost no existing teeth whatsoever, and was wearing false teeth dentures. Of course, like most of us, she felt very uncomfortable wearing them.
Dental Holiday in Slovakia offers a same day replacement of the whole upper and lower jaw with a semi-permanent bridge based on dental implants (11 were used in this case to add extra strength support in the thin amount of jawbone available for stable bridge support).
Immediately her confidence returned to laugh and dine out as she deserved.
The patient then returned some months later after a period of healing for impression and a final fixed tooth bridge for both the upper and lower jaw.
This was the best decision to have my teeth done, staff are amazing, friendly very professional, it brought me so much confidence to have this done…”
All the Smile Clinic team in Piešťany wish this lovely couple many days of smiles, love and great food around their big wedding day!


