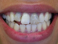
Lucy and her new smile

Before and after photos…
Lucy had two Zirconium Crowns, composite reconstruction, white composite fillings and dental  hygiene.

 
 
 
 
 
 
 
 
Please visit https://dentalholiday.co.uk/to make a free 30 second enquiry and receive your free quotation within 24 hours. Or simply call Daniel Shaw on 00421 915 892 218 for more details.

Message us on WhatsApp