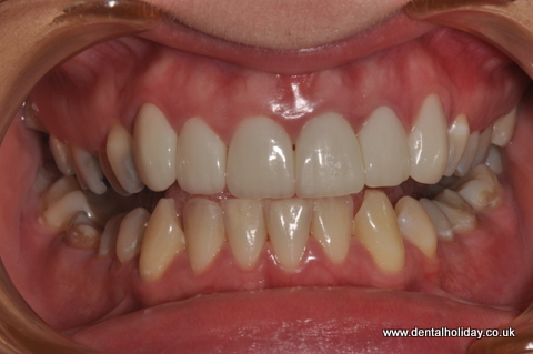
Dental Holiday receives many testimonials on a daily basis. Here is one from a recent client, Sue from the United Kingdom, telling us that her new crown looks perfect.
Dear Dental Holiday Staff, I want to thank all of you for a very pleasant experience. The staff was courteous and friendly, and the service was great. My new crown looks perfect next to its “mates.” I have recommended you highly to a friend of mine already. Thanks again. Sue“
You too can have a new crown that looks perfect like Sue’s. Dental Holiday is located in the lovely spa town of Piestany in Slovakia.
Dental Holiday has over seven years experience in treating clients dental needs from implants and crowns, bridges and veneers involving 2 to 3 visits in two or three months.
Our experienced and efficient dentist, Dr. Mark Salka provides a free consultation on your first visit. At Dental Holiday, our English speaking staff will make your accommodation arrangements, and provide transportation to and from Bratislava or Vienna airport. Choosing to have your dental treatment abroad, and get a new crown that looks perfect like Sue’s, is a low cost and high quality solution to your dental needs in a pain free environment.
Contact us today for a free quote. Then book your visit through our easy to use system and send us your flight information. We handle the rest in a pain free environment.

