
Not everyone appreciates just the high level of expertise, facilities or services available in our internationally accredited, UK dental clinic abroad. There are lots of other things to be noticed as well 🙂
Aggi (67 years old) from London in England in his own words, about his Dental Holiday with Smile Clinic in Slovakia:
“I was not only impressed by the work of the medical staff but to be in a dental chair looking up at lovely ladies was heaven .x.x.x.”
Hopefully, that new smile will get him a little bit more attention from the lovely ladies back in London city too 🙂
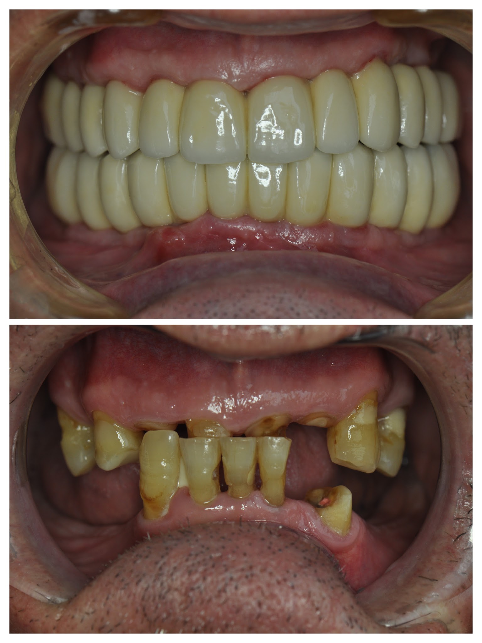
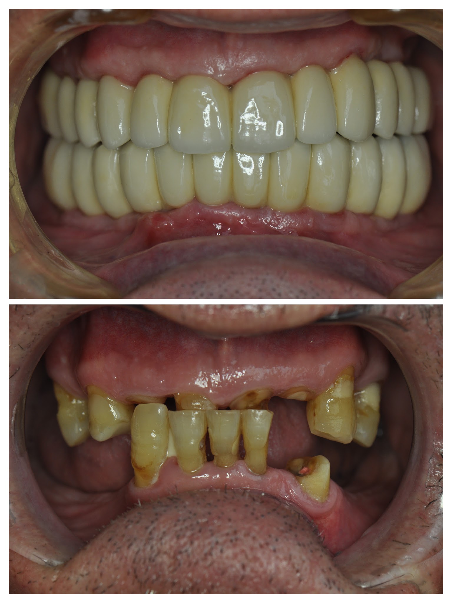
Aggi was one of our many “all on 5” and “all on 6” dental implant cases for both the upper and lower jaw that began in the second half of 2016 and completed in the 1st half of 2017.
As you can see from the photographs and x-rays, this was a relatively complicated case due to the lack of bone available (hence more implants being used). This is often typical of patients who have smoked in the past, had poor nutrition, suffered from serious illnesses, or simply a factor of aging.
Having said that, however, we have yet to have a case (and we’ve done over 3000 now) where we have not been able to throw out the idea of false teeth, and replace them with a full set of permanent crowns using dental implants.


