It really does bring to home joy in the work that we’re able to do in our dental clinic. It’s not just about “ceramics and screws” but really about improving the lives of 1000s of people in the UK who have struggled in the past.
Here is one of those inspiring examples: Emma from Scotland, who recently came to us direct from Edinburgh with Ryanair to Bratislava.
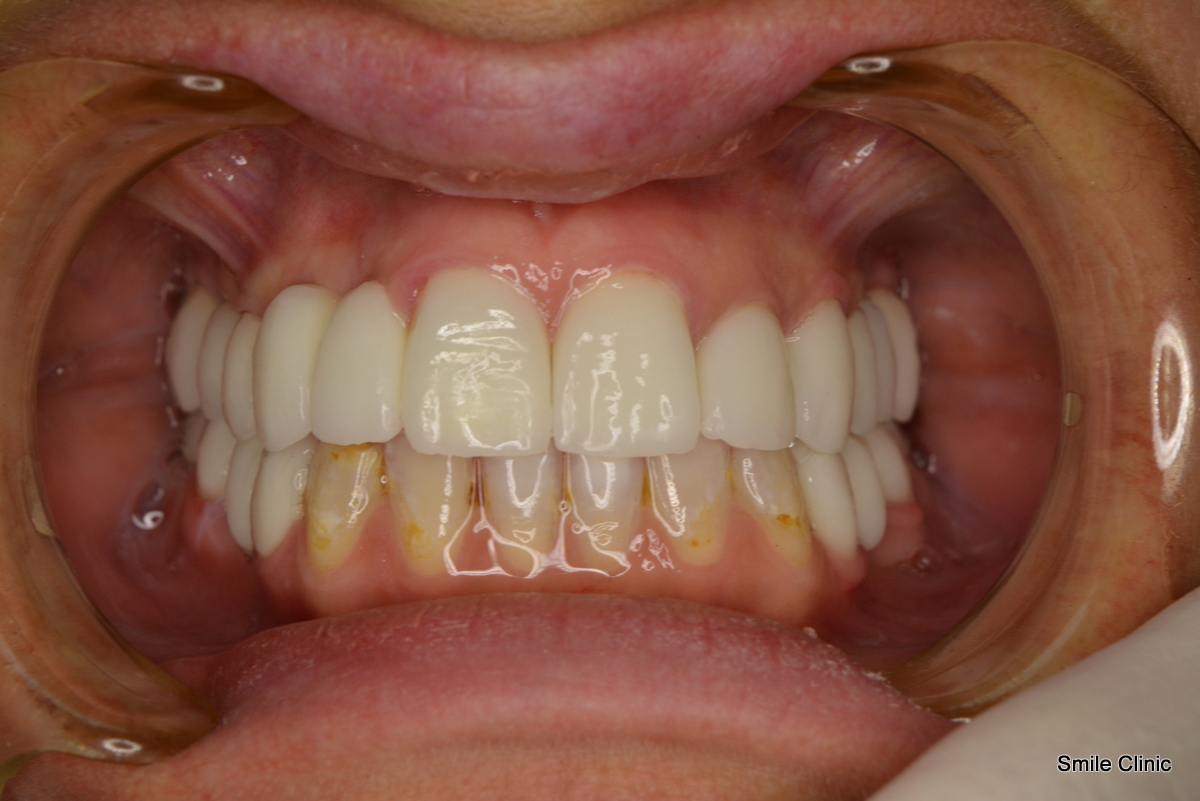
“A full smile makeover” was what she initially asked us for, and that’s just what we planned to do, however some restoration work was in order first.
2 dental implants were needed in the upper jaw, and 4 in the lower to replace her missing teeth, and 9 zirconia crowns were then used to create the “smile makeover” effect for the front upper teeth.
Due to the healing time involved with dental implants, the treatment was done over 3 short visits, and Emma stayed in a local hotel each time.
In her own words, here’s what Emma had to say about her Dental Holiday in Slovakia:
I am over the moon with my new smile. I can’t thank the Smile Clinic, Piestany enough for the quality of service that has been provided to me. I have been taken great care of from start to finish of my treatment.
After many years of low self esteem regarding the appearance of my teeth I can now smile with pride and feel good on the inside as well. I highly recommend Smile Clinic and will be returning next year for further treatment. You have made me look and feel like a SUPERSTAR!”


