
Janet from London contacted us in November stating that she was “a long way off actually DOING anything about this yet!” Janet told us that she had never been a regular visitor to any dentist – She absolutely hated and dreaded them. But she was very conscious that she would shortly lose her teeth altogether, and was very wary of constantly trying to hide her mouth behind her hand or hair.
Perhaps you know that feeling?
It was 6 months later when we heard from Janet again when she wrote and said: “How does it work, since we cannot know at this stage if I will be suitable for treatment or not, but if I am, would like to proceed there and then – certainly with the upper jaw (the two front teeth are hanging in very loosely now – I’m just keeping everything crossed they will survive until then!! ☹)”
Finally, she sent us some photos of her teeth and we tried to reassure her exactly how she could have a confident, bright smile again.
Funny thing is that we’ve seen much worse cases in the past, and this was a “typical case” for us.
In September Janet arrived with her brother for support stating “beware – I AM a BIG BABY when it comes to dental treatment!” 🙂
And then the transformation began.
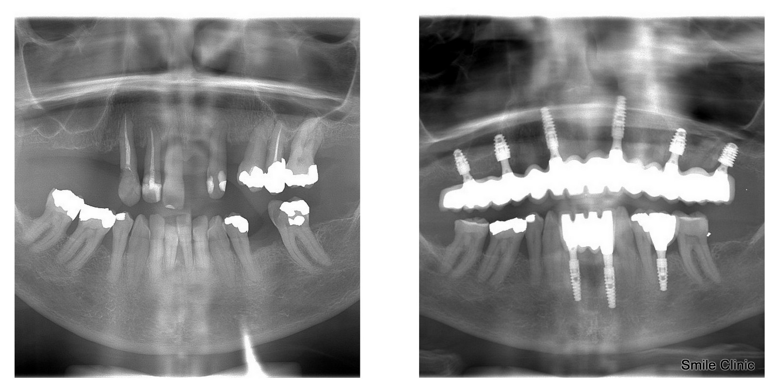
If you have a look at the X-ray here, you’ll see the “before” state of teeth and then after:
6 dental implants, abutments, some tooth extractions and 14 crowns for the upper jaw, and 3 dental implants for the bottom jaw and 6 crowns.
Putting new implants in her upper jaw gave her a complete face lift as well on both sides once the weakened jawbone was healed with full healthy bone.
And out emerged a confident lady, no longer hiding her smile, but instead showing it with pride.
Take a moment to read her handwritten review here. Going abroad for dental treatment can be daunting. We do our best to put our patient’s mind at ease before the first visit, but appreciate that it’s a big step for everyone. On visit 2 however, you’re looking forward to your “dental holiday”. Visit 3? You may tell us that it’s one of the best decisions you made in life.
Would definitely recommend!!!
I was scared witless on my first trip and made my brother come with me. Think about it:
a.) Strange countryb.) being met by a complete stranger
c.) driver for 2 hours
and
d.) taken to an apartment I didn’t even have the address for.
But everything has been absolutely fine and I now have a perfect set of teeth. Thank you all so very much, and I am so sorry for being such a baby!!!”
Janet, thank you so much for putting your trust in us – here’s to a new lease of life for you!
“Article was medically reviewed by Dr. Marek Šalka “



