
At the beginning of the new year people often make resolutions. The most common health related ones are to stop smoking or to work out more. But what about your dental health?
Karl was born with a condition called hypodontia – missing teeth. Karl was given a retainer as a teenager and he got used to wearing it. But now in his 30s, Karl said to himself, it is time to fix your missing teeth.
Did you know that missing teeth are not just an aesthetic problem?
We were excited to help Karl obtain the smile he always wanted so he didn’t have to wear a retainer for the rest of his life. Karl came with his father (who also had a dental treatment). They were both happy with the experience and enjoyed their stay in the spa town of Piešťany where one of our Smile Clinic Slovakia treatment centres is located.
Walk through Piešťany’s many parks, or go to spa island for thermal water relaxation. We will help you with accommodations at one of our flats for £35 a night or at the many hotels in the town center where the clinic is located. We pick you up for FREE at the airport and take you back at no charge. Our consultation and x-rays are FREE too!
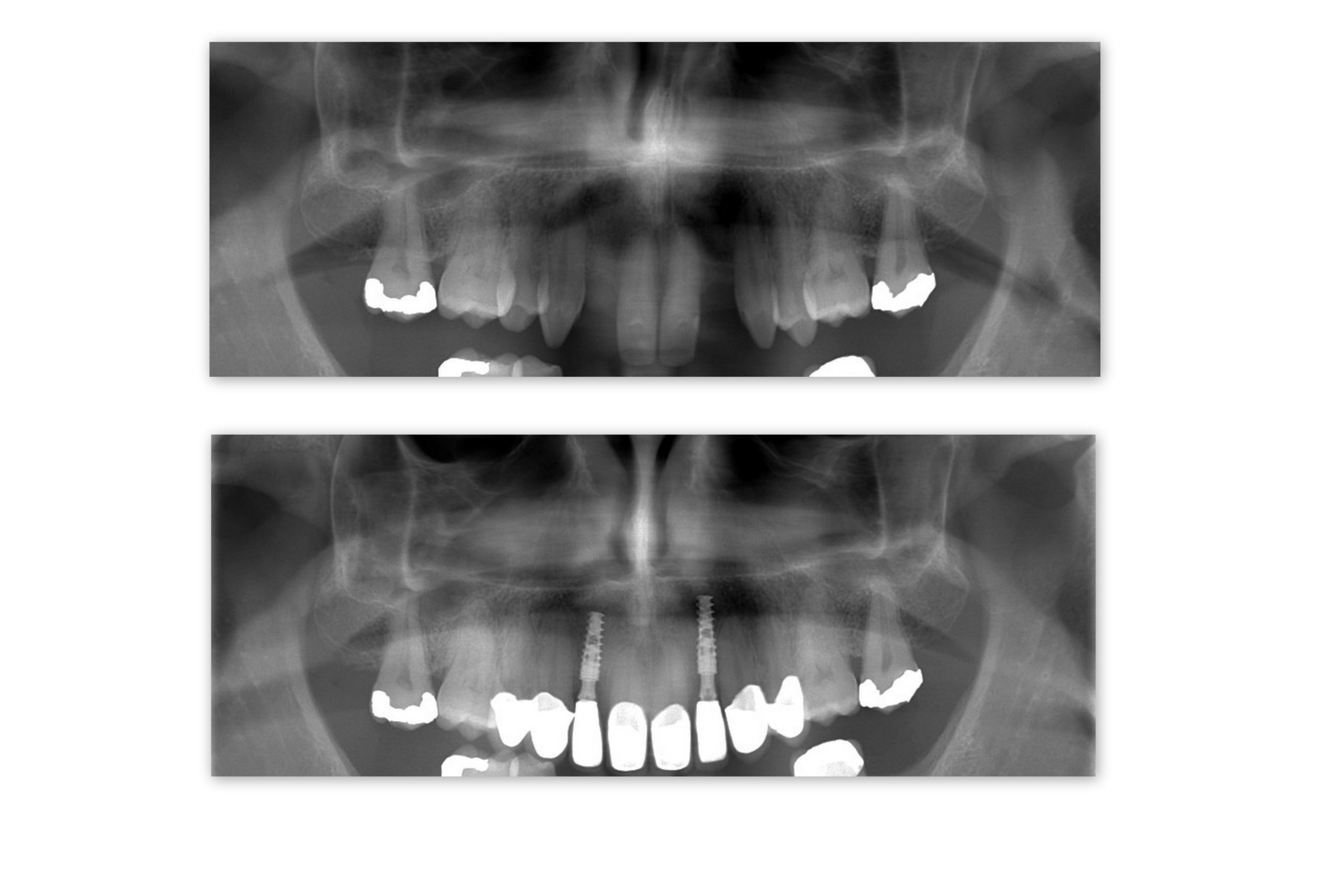
Karl’s dental implants treatment and experience
During the free initial consultation (learn more HERE) we made 2 treatment plans for Karl – one for the upper jaw and one for the lower jaw. Karl decided to proceed with his upper jaw – 2 dental implants for UL2 and UR2 (12 and 22) and 6 ceramic crowns for his front teeth.
After a painless surgery we provided him with temporary healing abutments and temporary crowns and he could fly back home.
After a 3 month healing period he came back to finish his dental implant treatment. Also, we reshaped his 6 front teeth and fit dental crowns onto them. Not only did he get rid of the retainer, but also he has this brilliant Hollywood look now!
Karl gave us a 10-out-of-10 and said Smile Clinic – Dental Holiday is:
Productive, efficient, always available, good communication, perfectionists, caring, and affortable.”
There are no hidden costs with our treatment plans, created by our clinic manager and Dr Marek (Mark) our premiere
Learn more about Emilia’s experience with all-on-6 dental implants.
Contact us HERE any time you will decide that 2019 is the year that is going to change your smile 🙂

“Article was medically reviewed by Dr. Marek Salka “
