
David from Edinburgh first wrote to us in early summer last year, looking to replace all the teeth in his upper jaw.
At just 29 years old, he wasn’t sure if this type of “full smile reconstruction” was suitable for someone his age. Dentures, for example, would not restore any of his confidence. As he said, he tends to mumble a lot and was subconsciously aware of how bad his teeth were, to the point that he even avoided phone calls whenever he could, as odd as that must sound.
After a number of email exchanges with our admin team, David flew over with his brother in mid-August and stayed in of the apartments that we recommend with the clinic in Piešťany spa.
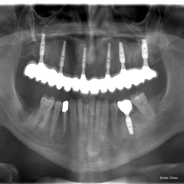
As you can see in the X-ray, on the 1st visit, 6 dental implants were placed to support 14 crowns as a bridge, and 2 more visits were needed to complete the treatment at the end of the year.
This is what David had to say about his Dental Holiday:
I had no upper teeth due to neglect and at no point did any of the staff make me feel bad about it. That alone is a big deal for me.
They could not have been friendlier and I would recommend the dental clinic to anyone in need of implants. Thank you very much. You have given me more confidence than I have had in a very long time. Thanks again.”

