David from Southampton in England was recommended to us by his daughter’s colleague, who had visited Smile Clinic in Slovakia on several occasions for treatment.
He is now retired from work so was able to start treatment with us almost immediately after making his dental inquiry to us.
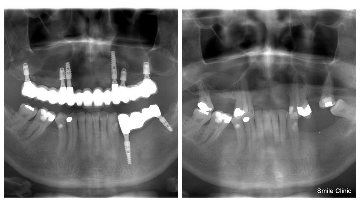
He had been wearing false upper teeth for some time, and decided to finally get rid of it by opting for the “all on 6” dental implant procedure giving him 12 new, fixed teeth for his upper jaw on 6 dental implants, as well as a crown tooth bridge of 4 teeth for the bottom jaw towards the back for added eating strength.
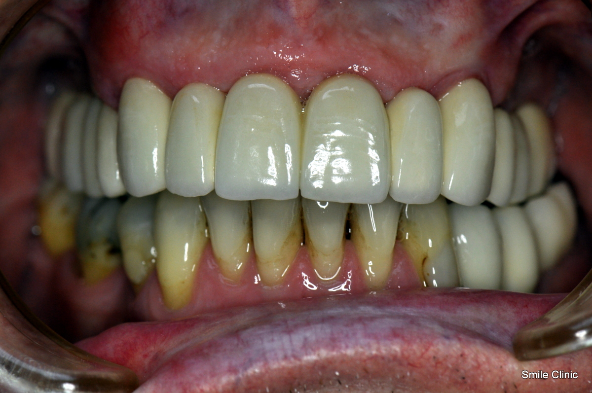
As you can see from the photographs, David opted for a natural look, complementing his original teeth – with an improved smile & confidence.
Here’s what David had to say about his treatment with Smile Clinic Slovakia:
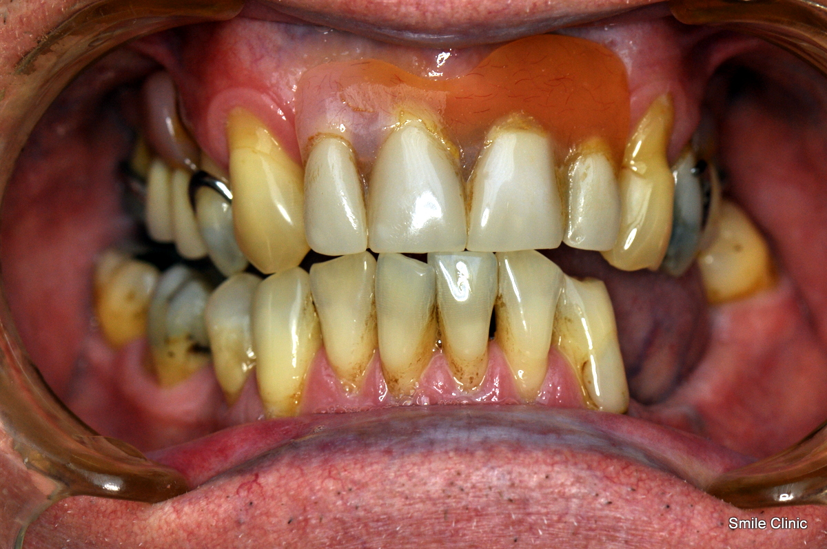
For many years I have had dentures which were uncomfortable and ugly to look at.
I came here hoping to improve my smile and I have not been disappointed. From the outset the staff have been friendly, efficient and the communications and accommodation arrangements – pick up airport were all done at ease. Making 3 journeys trouble free.
I am so happy with the final result and I would recommend anyone who asked me where I get it done at the drop of a hat many times.”





