Our patient Lisa recently completed her dental treatment abroad with a full-set of dental implants at Dental Holiday in Slovakia.
Now, Lisa is grateful for her perfect and beautiful new teeth. She believes that her decision of having dental treatment abroad was an excellent idea. Also, she saved lot of money in comparison to the prices in the UK.
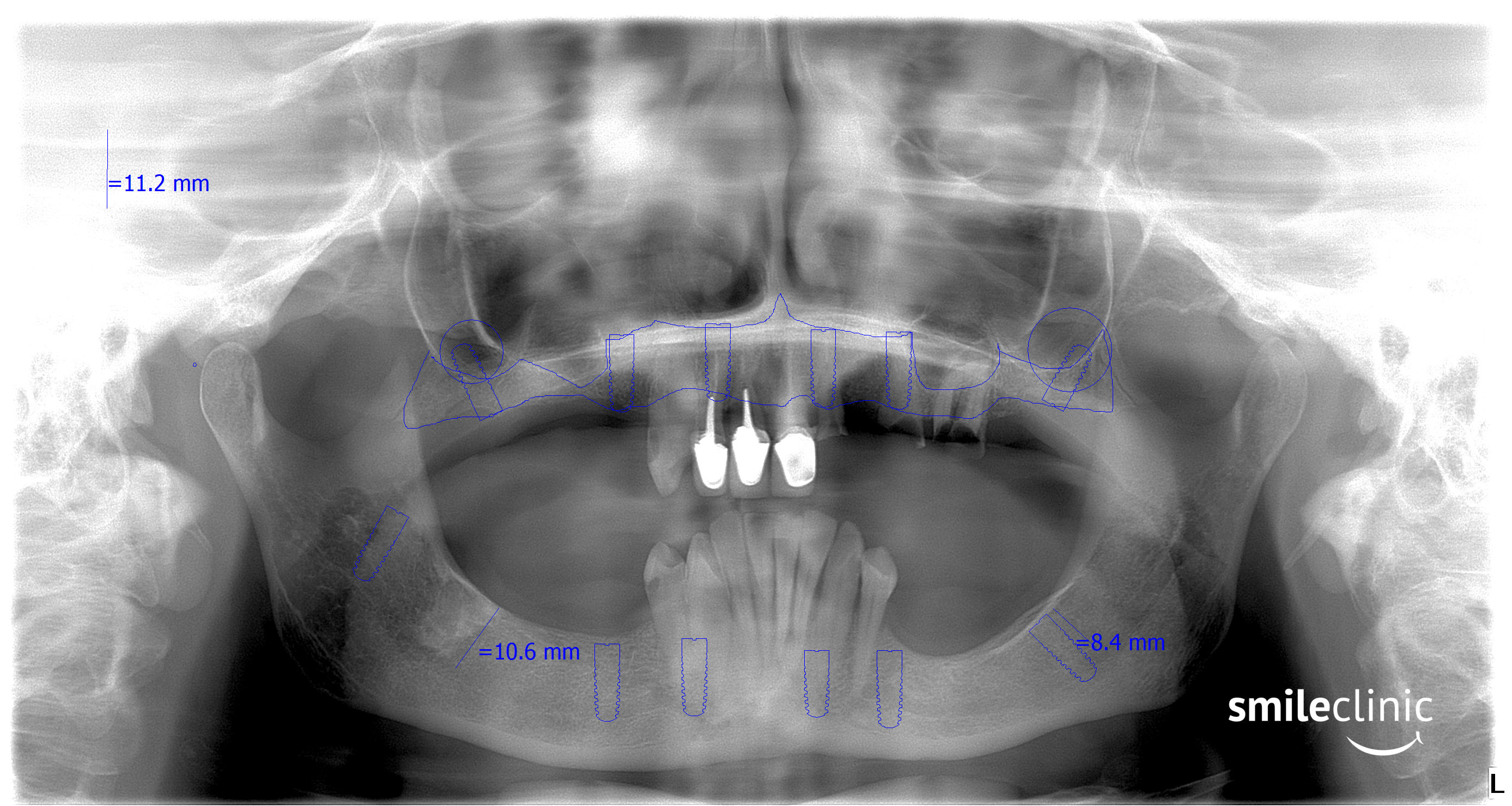
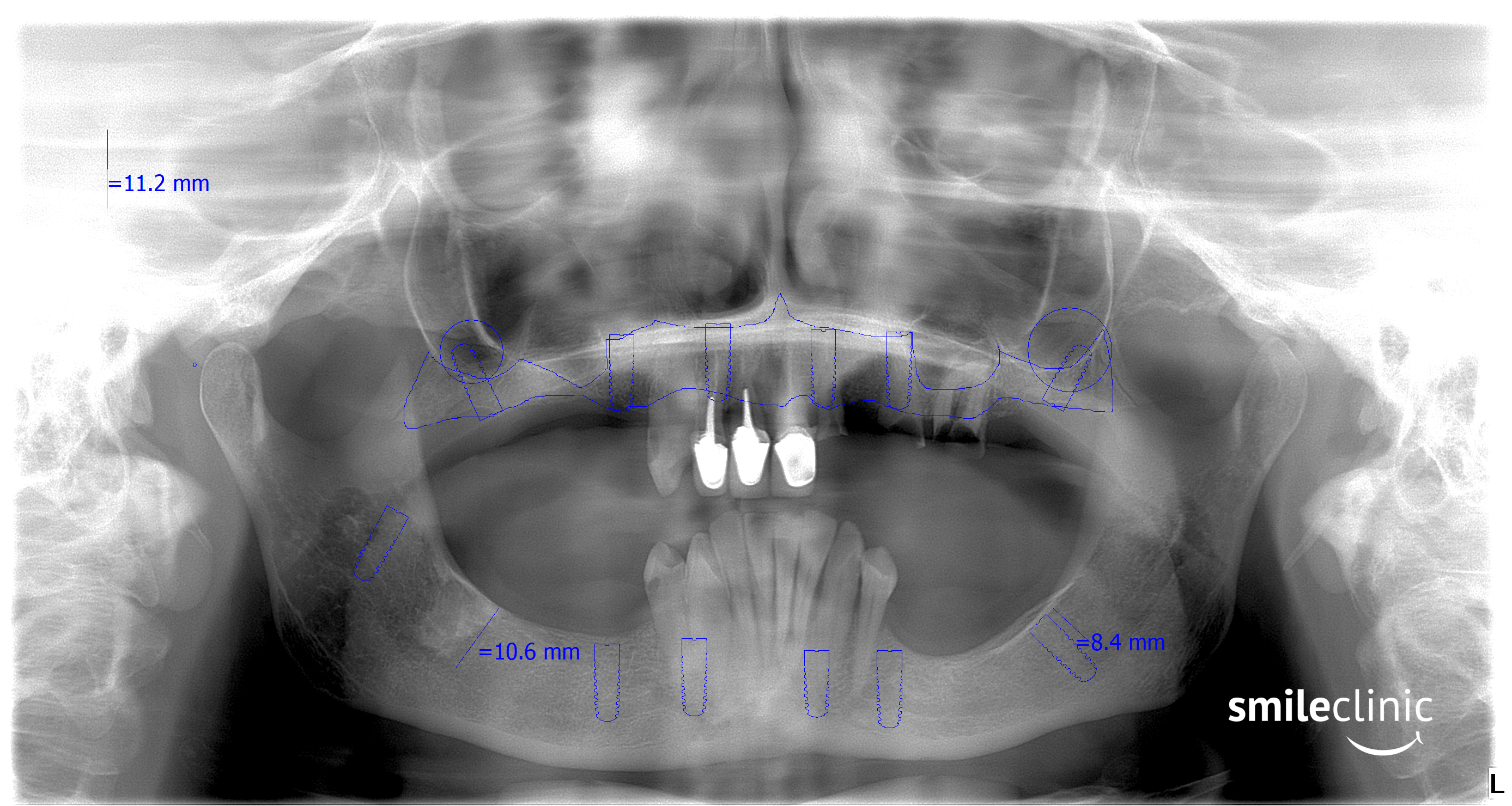
This patient recieved All on 5 procedure on both her jaws. As you can see in the X-ray taken after the treatment, she now has 5 dental implants in her lower and 5 dental implants in her upper jaw. On these implants is placed a fixed 14-point bridge.
It´s Dental Holiday!
Once at Dental Holiday, you will receive a free consultation with Dr. Mark or with one of our other senior implantologists. The doctor will make a treatment plan that will help you achieve a healthy and good-looking smile. Our experienced patient manager will help you get rid of your fear of the dentist as well as help you understand every detail of your treatment. Many UK patients are scared of having dental treatment abroad until they arrive at Piestany. Piestany is a small spa town just a 45 minute ride north of Bratislava, where over 4000 patients have received dental treatment since 2006.
Dr. Mark has been practising dental implant and other dental surgery treatments at Smile Clinic – Dental Holiday for more than 10 years. Trained abroad, Dr. Mark is an expert in dental implant surgery using only the best quality materials in today’s dentistry.
Dental Holiday has two clinics – in Piešťany town and in Bratislava, the capital of Slovakia. Dental Holiday’s English-speaking staff will guide you through the process and even make accommodation arrangements for you. Our car driver, Daniel, will pick you up and take you to Bratislava airport.
All this sounds good, doesn’t it? So, if you want a happy beautiful smile like Lisa, fill out the GET A QUOTE FORM and we will respond to you within 24 hours.




