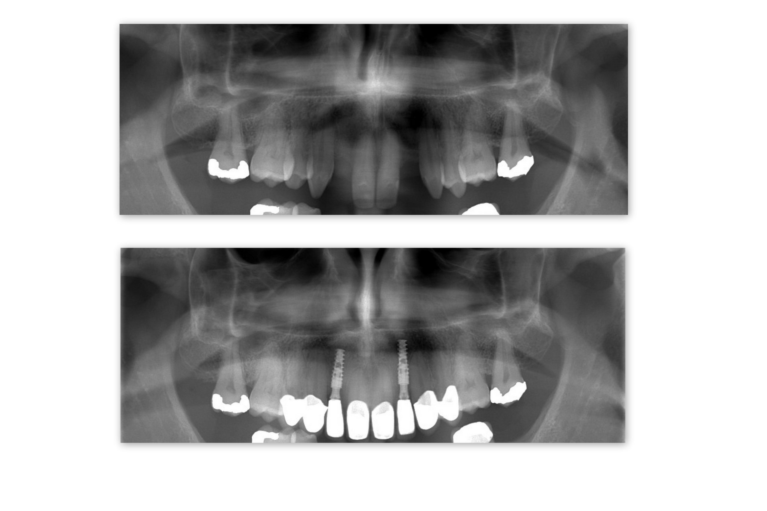
A recent Smile Clinic – Dental Holiday patient, Karl, was born with condition called hypodontia – missing teeth. Karl was given a retainer as a teenager and he got used to wearing it. But now in his 30’s, Karl said to himself, it is time to fix your missing teeth. So, he got rid of the retainer with dental implants. He had two implants with zirconium crowns to complete his new Hollywood look 🙂
Karl gave us a 10-out-of-10 and said Smile Clinic – Dental Holiday is:
Productive, efficient, always available, good communication, perfectionists, caring, and affordable.”
We were excited to help Karl obtain the smile he always wanted so he didn’t have to wear a retainer the rest of his life. Karl came with his father (who also had dental treatment). They were both happy with the experience and enjoyed their stay in the spa town of Piešťany where one of Smile Clinic Slovakia treatment center is located.
Walk through Piešťany’s many parks, or go to spa island for thermal water relaxation. We will help you with accommodations at one of our flats for £35 a night or at the many hotels in the town center where the clinic is located. We pick you up for FREE at the airport and take you back at no charge. Our consultation and x-rays are FREE too!
There are no hidden costs with our treatment plans, created by our clinic manager and Dr. Marek (Mark) our premiere implantologist.
The holidays are just around the corner, so why not start now with your dental treatment abroad?

