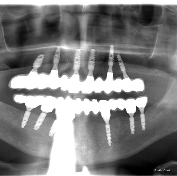
Andy from Cheshire came to us for dental implants to his lower jaw that was completed back in 2013.
It was great to see Andy again, this time to restore his upper jaw with 6 dental implants supporting 12 crowns on a bridge.
As before, Andy remarked positively about his dental holiday experience in his after treatment assessment:
First class treatment – good quality equipment + final result excellent. Great staff.”


