This cat lover from London said that the cat really got the cream after her full jaw replacement at our dental clinic in Slovakia.
This patient was looking for a complete upgrade in life, and complemented her treatment with diet and lifestyle changes.
As you can see from the before and after photographs here, the result was amazing, and she’s now grinning like a Cheshire cat granted 9 lives.
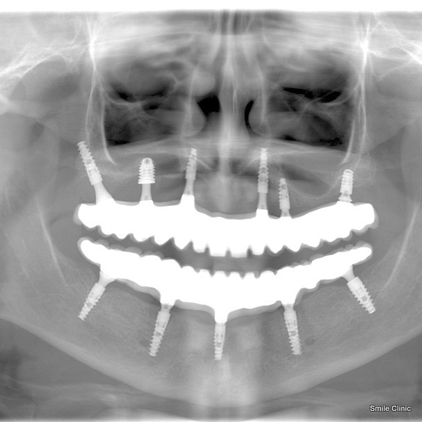
6 dental implants to the upper jaw and 5 to the lower jaw, supporting 14 new teeth crowns per jaw formed in a bridge.
Here’s what Rosemary had to say about her treatment with Dental Holiday:
Dr. Marek and Staff,
thank you for your wonderful treatment. I think the before and after photos say it all. What a transformation. Once again let me express my gratitude.”
The whole team at Smile Clinic in Slovakia wishes Rosemary all the best in her new start in life – keep up the great work, and thank you for your gifts for the team!



