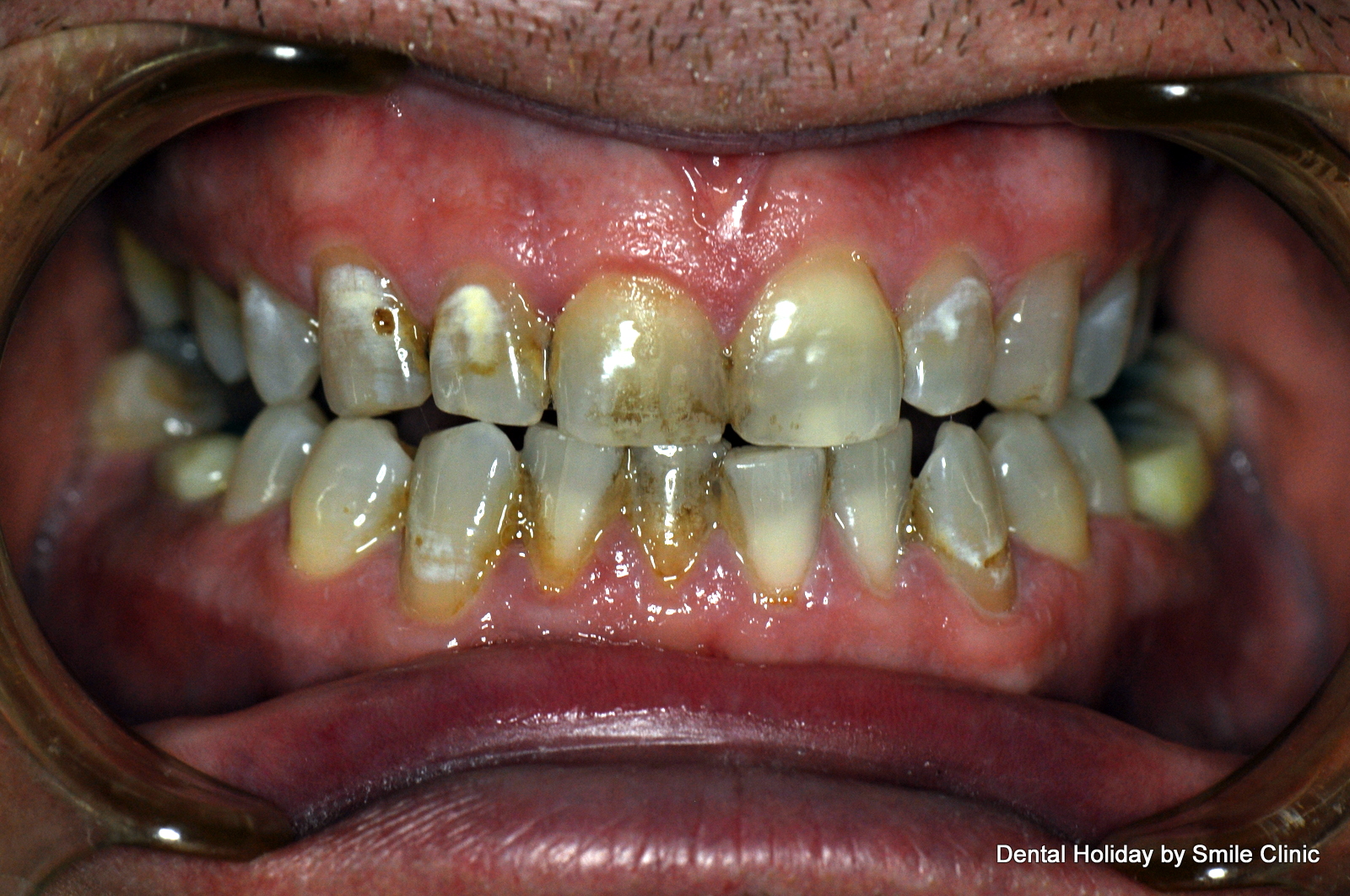
Here’s Brett, a very busy CEO who runs his own software company in London, who came to us for 3 visits to complete a couple of implants in the back of the mouth and a replacement of his teeth to give exactly the same look at before, but healthier and brighter.
If you look closely at the photographs in the post, you’ll see how little was changed, but how much of difference it made cosmetically.
Flying to us from London through Vienna, he opted for the dental treatment to be done under general anaesthetic, and had this to say about his Dental Holiday with Smile Clinic Slovakia:
Everybody and everything was amazing and as much fun as going to the dentist can be”.






