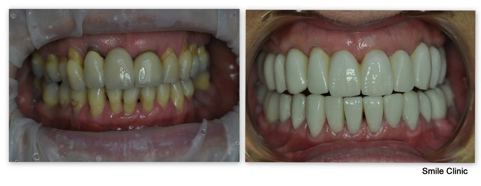
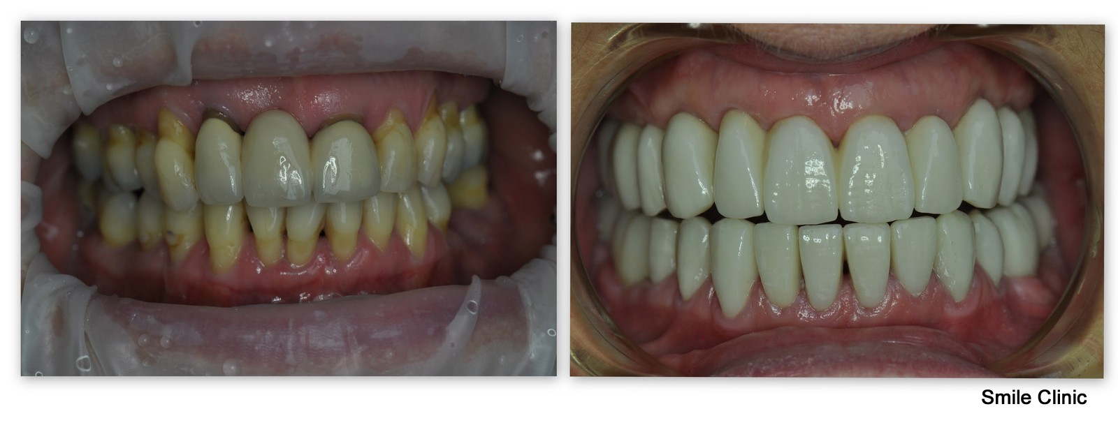
The case study of Pamela:
Mrs. Pamela from Manchester, UK, contacted us 2 months after her 50th birthday and her wish was to have all her teeth replaced with dental implants and dental crowns. She made a booking at our dental clinic for a consultation during which we made an X-ray and CT scan for her. Dr. Marek recommended the All on 6 treatment for her upper jaw. He suggested to keep her lower front teeth as they were in a good condition and place only 2 implants to her lower left back side and 2 implants to her lower right back side. After the consultation, Pamela decided to go back to the UK and take some time to make a decision.
We were happy when Pamela contacted us again and booked an implantation session with Dr. Marek in June. Our driver picked her up at the airport and drove her to our dental clinic in Piešťany. Before the doctor could fit the implants he had to extract 13 of her natural teeth. After that, in 5 hours, she already had her dental implants fit in her mouth. The doctor did socket preservation for all of her dental implants to make sure the implants will root to her jaw successfully.
After 90 days, Pamela came to Slovakia again and this time she brought her husband to support her 🙂 During this visit we took the impressions of her jaws/teeth. The doctor has also reshaped her remaining natural teeth on the lower front side to get them ready for treatment with dental crowns.
On her final visit, we fit the final implant crowns and also 9 zirconium dental crowns. Pamela left our clinic with a wide smile and she left us this pleasant testimonial:
Pamela´s testimonial:
Really pleased and exceptionally happy with all the treatment I have had over the last few months. Dr. Marek has finally given me a smile that I am proud of. I feel confident again. The staff are very friendly and extremely helpful. I would definitely recommend this surgery to anyone. Thanks again, Pamela“
In case you are interested in this treatment, please, feel free to contact us via our contact form here. We can agree on a phone call if you wish and one of our staff members will answer all of your questions about your Dental holiday.



