Robert from Scotland decided to travel to Dental Holiday in Slovakia to have dental implants at the age of 76. Dental implants at any age are a good idea!
Read Robert’s hand written testimonial. He gave us a rating 10 out of 10.
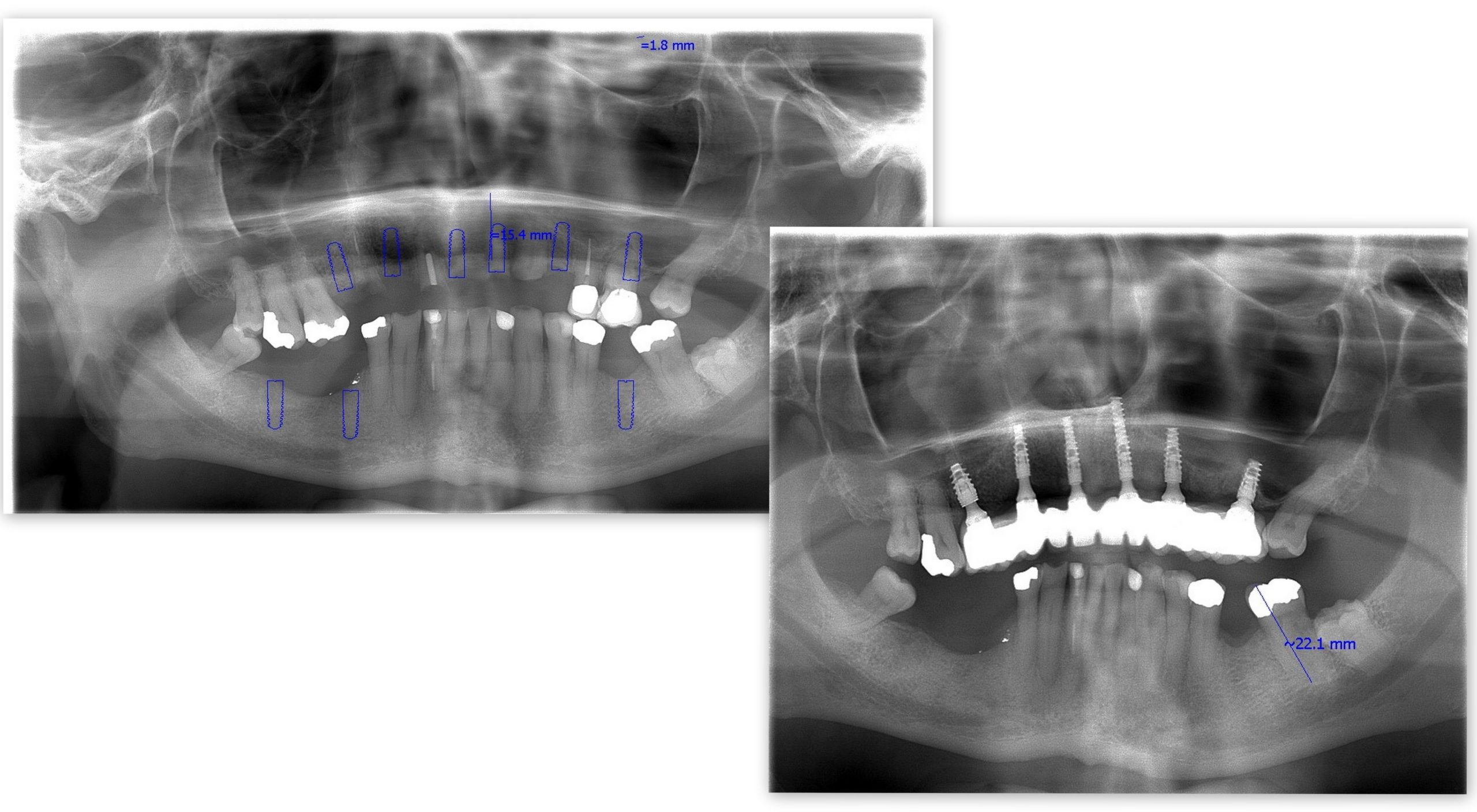
I am very impressed with the high quality of treatment. It is precision engineering. Furthermore I would advise getting implants rather than degrade adjacent teeth to mount a bridge. My experience is that the bridges fail.”
It might seem daunting at any age to travel across Europe to have dental treatment, yet Robert took the challenge to change his smile. This just goes to show dental implants at any age are a good idea. Robert is so happy with his new smile and is excited to experience what life has in store for him now.
When you travel to the lovely spa village of Piešťany for your dental treatment, you will be welcomed by our driver Dano at the airport and escorted right to the dental clinic for your consultation and treatment plan with our experience English-speaking staff.
We will help you with securing your accommodation and once the treatment is completed, you can take walks in Piešťany’s many parks or relax at the spa in the famous thermal waters. Fill out our quick and easy quote form and you’ll be on your way to a make-over smile like Robert. No matter what your age!


