Mr. Carlos from the UK decided to get dental crowns at Smile Clinic Slovakia – Dental Holiday. He wanted full set of dental crowns. Normally in the UK, this type of dental treatment would take many visits at the dentist and cost a fortune. But at Smile Clinic we can help you to get a nice and healthy smile in just two overnight visits!
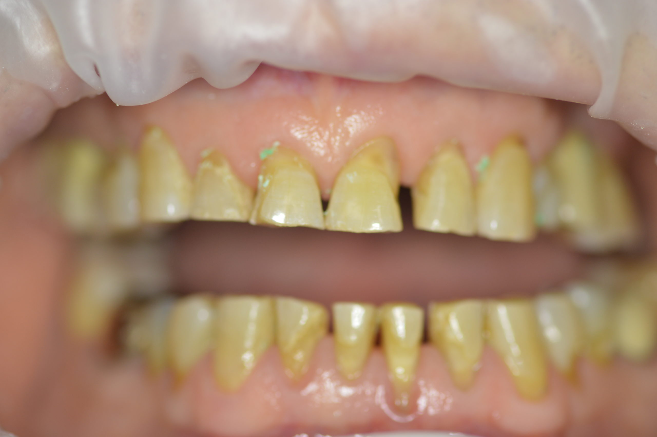
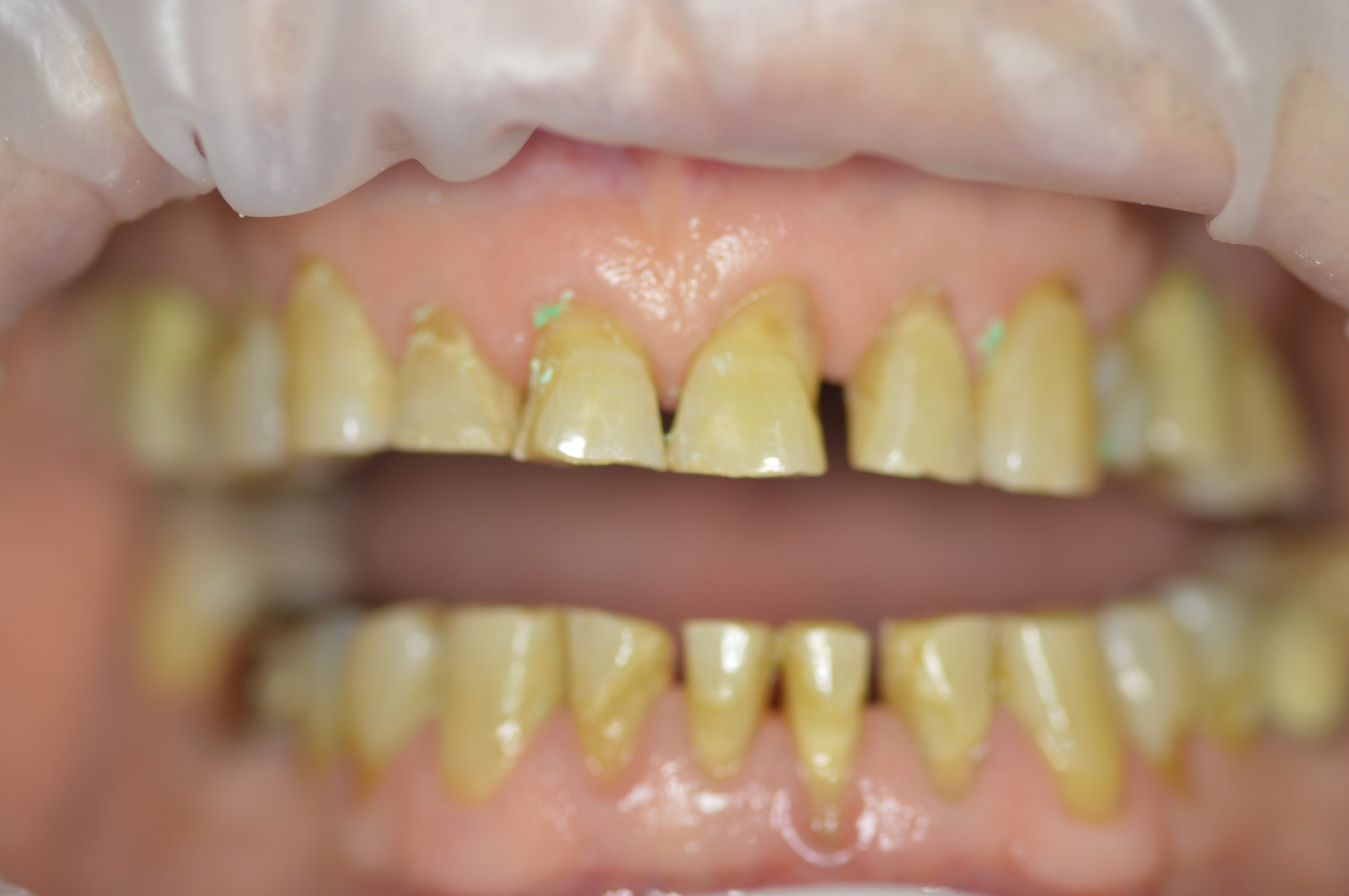
Our driver Daniel picked Carlos up at the Bratislava airport free of charge and drove him to our dental clinic, located just a few minutes walk from city centre of Bratislava – capital of Slovakia. At the dental clinic Carlos filled out a short questionnaire about his expectations and dental problems. Then we made an X ray, free of charge. The doctor suggested to start the treatment with 2 composite reconstructions (on teeth 17 and 47). To get a nice smile Carlos decided to get 11 dental crowns on his upper jaw and 12 dental crowns on his lower jaw.
How does treatment with dental crowns work?
The treatment with dental crowns is usually divided into two one day visits. On visit 1 we reshape the patient’s teeth so that the doctor will be able to put final dental crowns on them later. After reshaping we take the impressions and send them to our specialized on-site dental laboratory. Dental technicians make all dental crowns with precision and they work closely with the doctors.
While the technicians work, we provide provisional dental crowns to all our patients so the patient is able to work, eat and smile normally. Provisional dental crowns are provided to all patients for free.
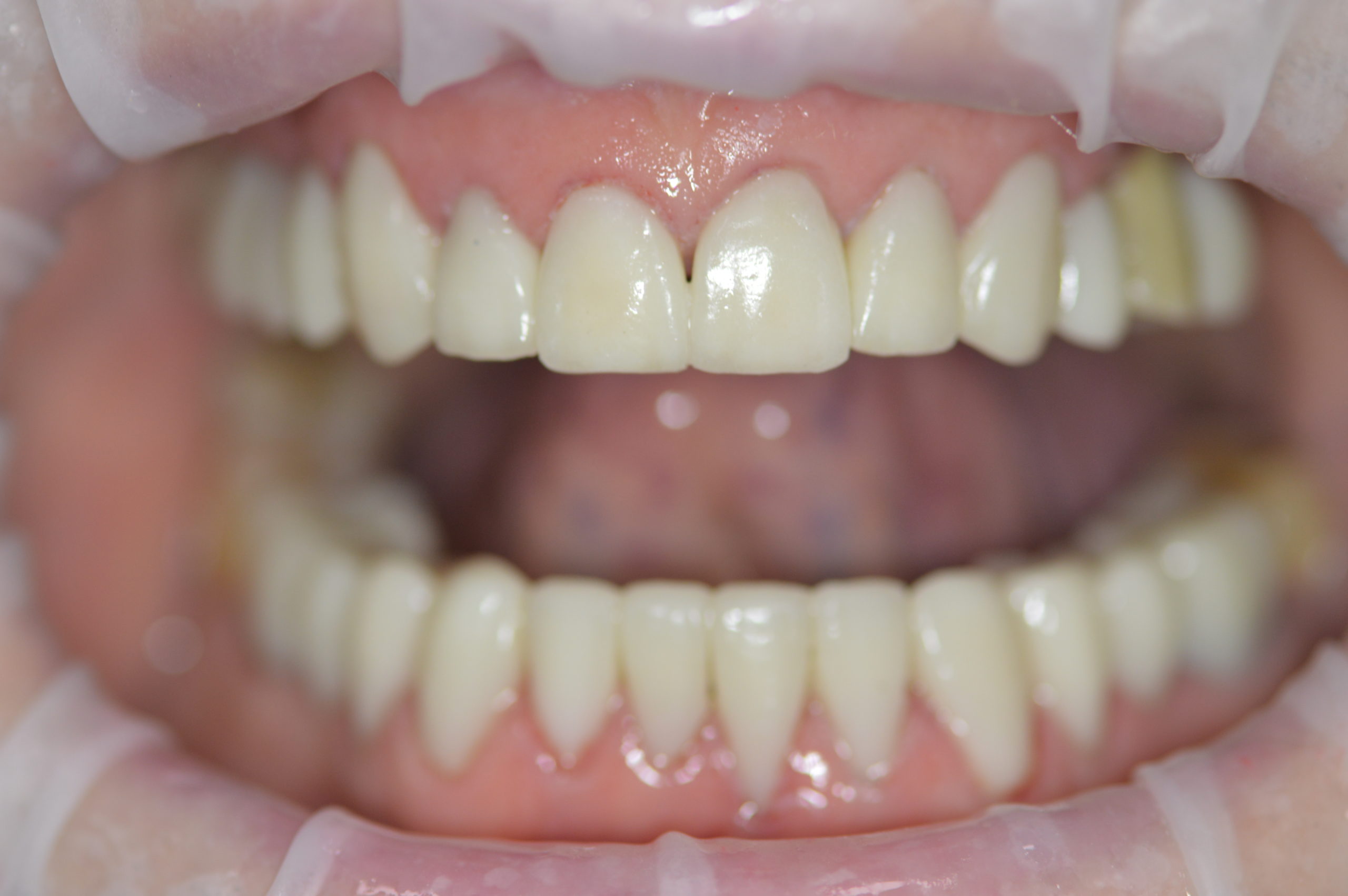
During visit 2 the doctor takes off the provisional crowns and fits final dental crowns to the patient’s mouth. Mr. Carlos received his final dental crowns just a few days ago and he is very happy with his new smile so far.
If you will need to stay more than one day we will help arrange your accommodations.
There are no hidden costs and we offer a free consultation and x-rays. Fill out our quick, easy form and our experienced dental support team will contact you straight away.


