See the x-ray and after treatment photo, as well as read the hand-written note and story of Margaret, one of our recent UK patients. Margaret realized the dental cost is affordable here in Slovakia.
I would tell people that the cost is more affordable here in Bratislava. I would also tell them the clinic and people who work here are very professional and are also caring and friendly.”
Margaret travelled to Smile Clinic in Slovakia together with her husband for company. Our driver Dano picked both of them up from Bratislava airport free of charge and took them to the self catering apartments which we offer as a low-cost but comfortable option for all our patients.
The advantage of staying in the self catering apartments is that you have no check out time – very convenient if your return flight flight back home is later on in the day 🙂
Margaret’s dental appointment at the Smile Clinic was scheduled with our dental treatment coordinator Natalie, and our implant specialist Dr.Marek.
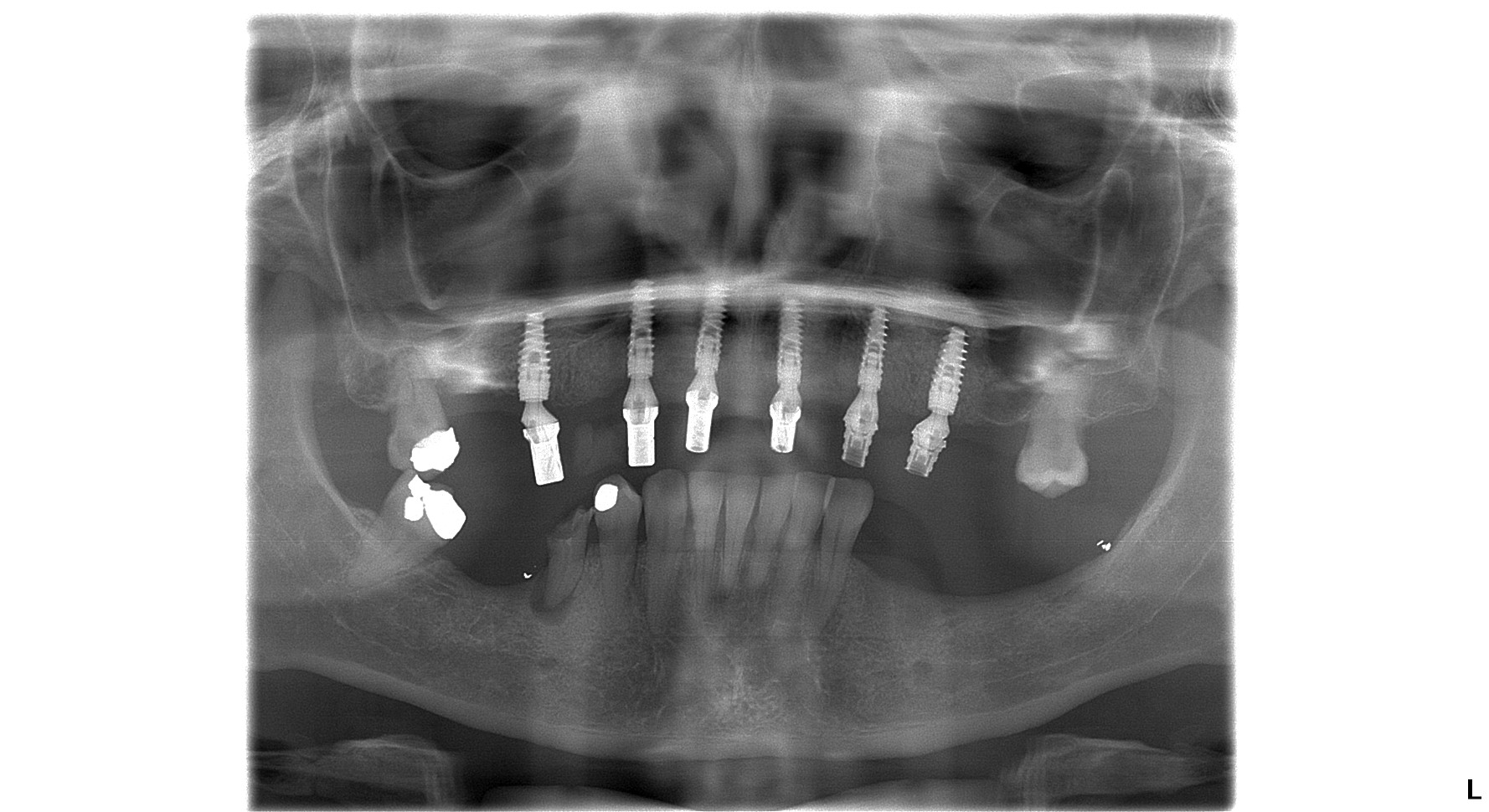
The Smile Clinic in Slovakia is one of the most well-equipped dental clinics in the country, hence our 4* platinum rating by the GCR. Therefore prior to the consultation with our dental implant specialist Dr. Marek, one of our dental nurses, who speaks fluent English took a dental OPG X-ray and 3D CBCT scan for Margaret. After the dental consultation, an oral health examination and a detailed review of the dental X-ray and CT scan, Dr. Marek prepared a personalized treatment plan for Margaret.
On the very same visit Dr.Marek and his team placed 6 dental implants for Margaret. Our team members at dental lab prepared a temporary bridge for Margaret to wear while she was having surgery. After the implantation a fixed temporary bridge is usually fitted for patients. This special bridge has titanium reinforcement for better stability and patients can travel back home comfortably with teeth that they can smile and eat comfortably with! We cannot bear the fact that we’d send someone home with false teeth for the healing period, as our patients, even in-between appointments are a walking advertisement for our clinic.
Margret travelled to us 2 more times after her first visit. The Second time was for tooth impressions, and on her last and final visit, after the dental implants had fully healed, a new ceramic bridge was fitted over her healed dental implants.


