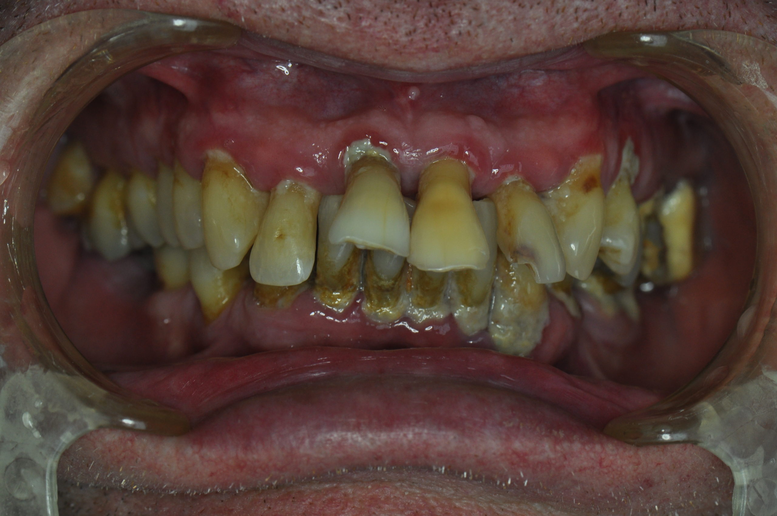
Gary from Manchester visited our dental clinic in September 2015 for his initial consultation. Because his teeth were loose due to periodontal disease, Dr. Marek suggested him to have all his loose and infected teeth extracted and replaced with dental implants.
Gary agreed to the treatment plan and during the 5 days of his 1st visit to us, we managed to do a full mouth extraction, then place dental implants for the upper and lower jaw bridgework and fit temporary teeth.
Temporary teeth are fitted on the same visit as the dental implants are placed. They are non-removable reinforced with a titanium framework for better stability.
Immediately, these new teeth gave the patient full eating function and a charming smile.
Gary gave us 10/10 on our patient feedback form and wrote that he “had recommended 3 friends and 2 have treatment already.”



