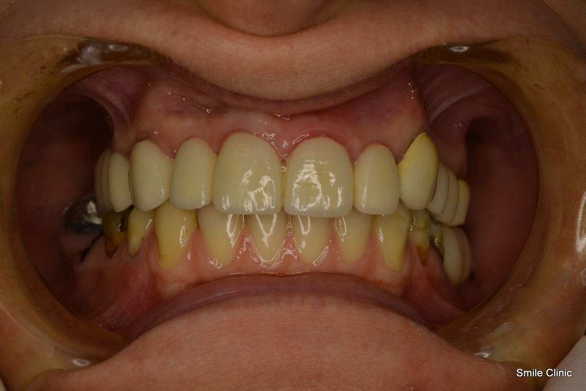
Having had a mish-mash of mixed experiences with UK dentists, Pamela, a writer from Manchester in North-West England told us enthusiastically that it’s finally great to have a nice smile back and be able to enjoy eating properly.
She found Piestany Spa a lovely little town and is already looking forward to her next visit for s a routine check up next year.
Here’s what Pamela had to say about her experience with our dental clinic in Slovakia:
Good choice folks 🙂
I cannot recommend this practice enough. I am so grateful for the highest professional expertise and resources, the lovely staff – nothing seems too much trouble for them and the clinic is a pleasant positive environment because of them all.Meanwhile, thank you to all, from the driver to all the wonderful staff and doctors.”


