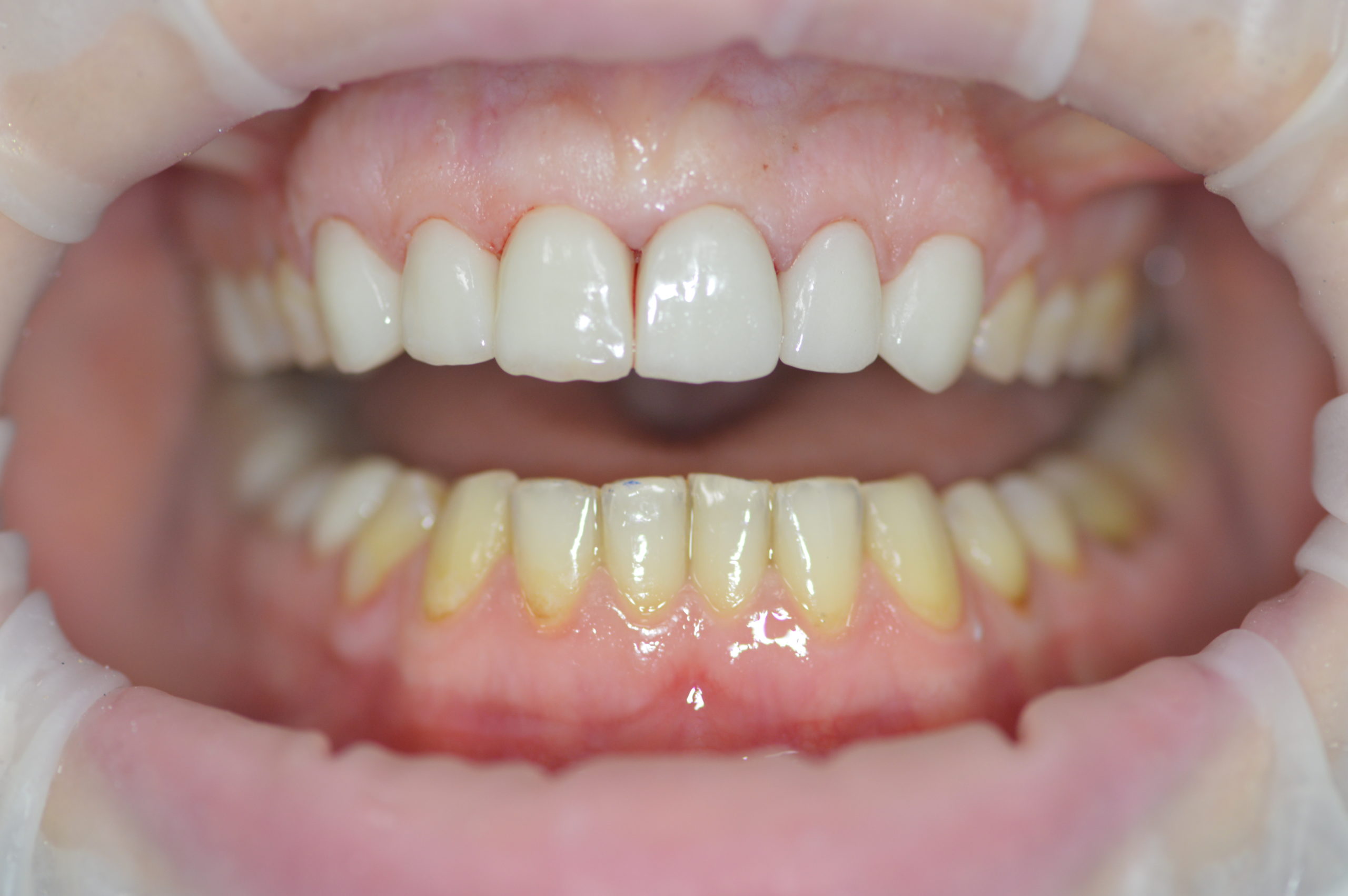
Miss Kate from London, UK, wanted to have a better-looking smile and her wish was to have bigger and whiter teeth. She came to her first visit to Smile Clinic Bratislava in July for a consultation. Dr. Martin made a treatment plan containing 7 E-max dental crowns for her upper jaw and 3 E-max dental crowns for her lower jaw.
Treatment:
The doctor and the patient agreed to split the treatment into 3 visits. On the next day after the consultation she came to our dental clinic to get her teeth on the lower jaw reshaped so that the doctor would be able to put dental crowns on them. Dr. Martin reshaped teeth 45, 46, 47 and 16. With the assistance of dental nurse Natalia he took the impressions of Kate’s reshaped teeth and put provisional crowns on those teeth, so that Kate would be able to eat and speak normally.
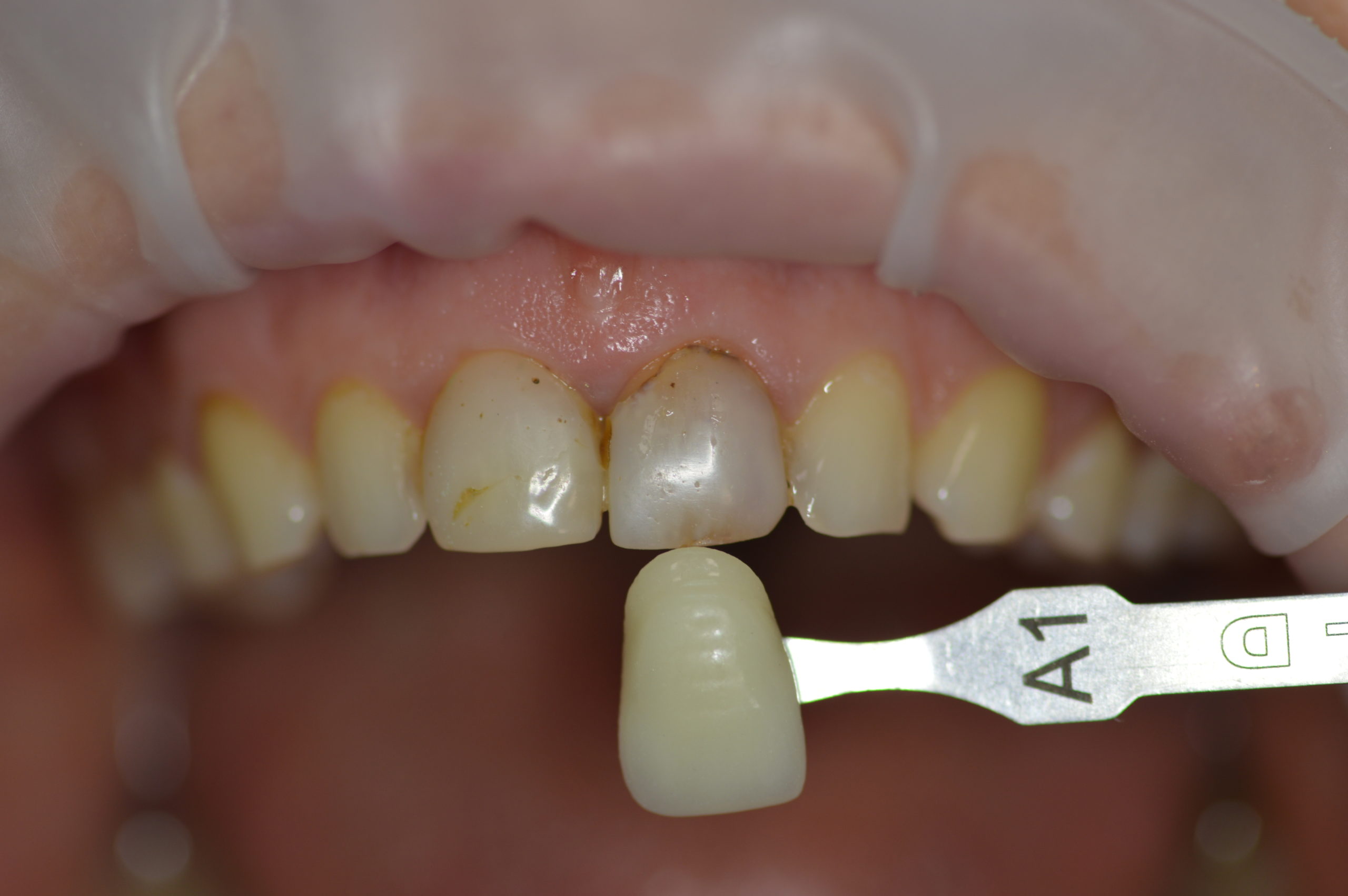
One month later Kate visited us again and we fit her final dental crowns on her reshaped teeth. The doctor continued with the treatment and he reshaped six teeth on her upper jaw (teeth number 13, 12, 11, 21, 22 and 23). We sent the impressions to our on-site dental laboratory and immediately provided provisional dental crowns.
When Kate came again the doctor took off the provisional crowns and fit the final dental crowns in her mouth. Now Kate has 10 E-max dental crowns, all in colour A1.
For your free on-line consultation and preliminary quote please contact us HERE


