
In January 2016, we received the photograph on the right with a message to advise on how to renew the smile.
It was 6 months later when Alison found the time in between work engagements to come out to us through Gatwick airport direct to Vienna airport for our complimentary airport pick-up.
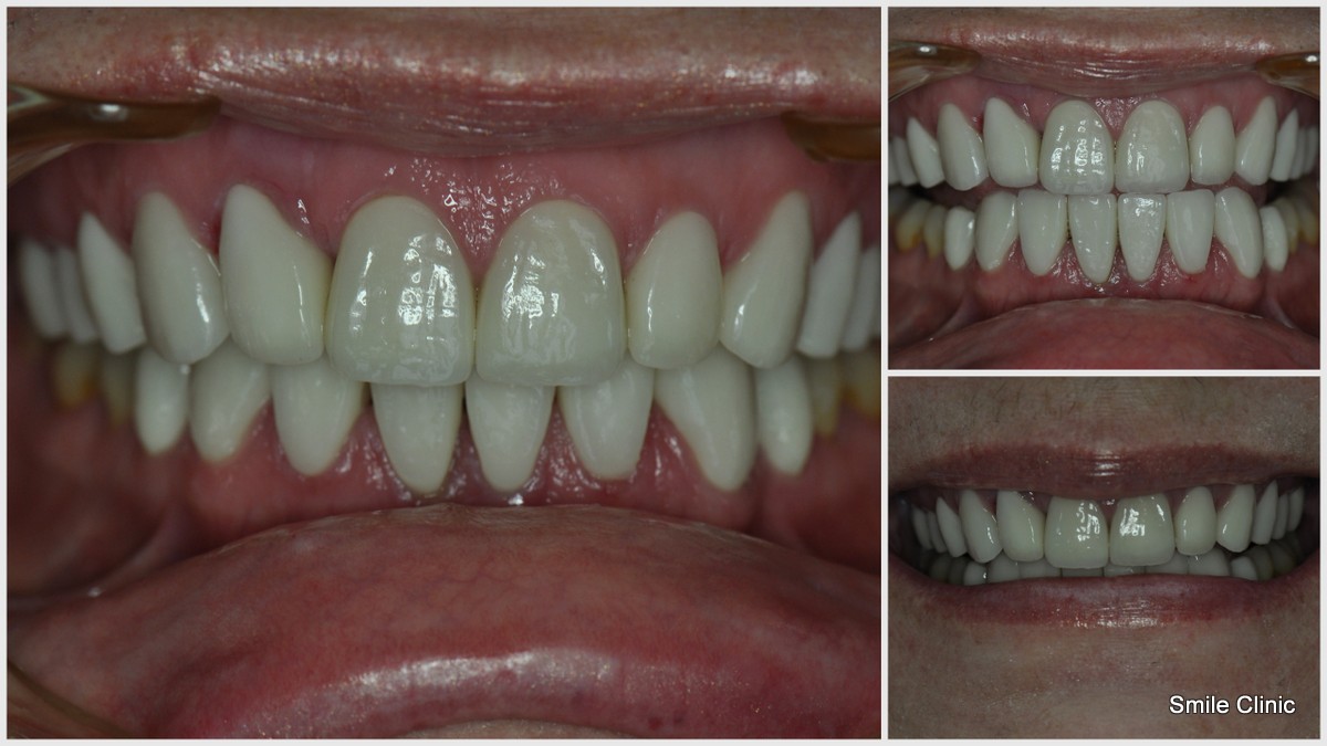
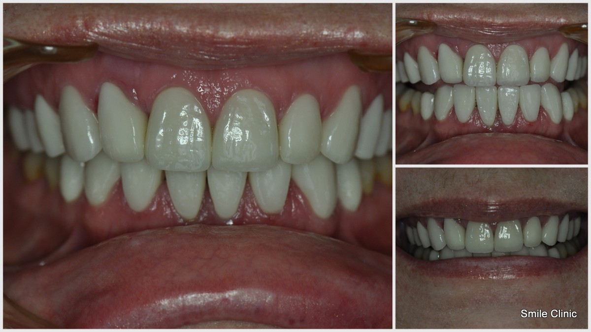
Alison’s sister also had major work done with us, and Alison decided to increase the number of porcelain crowns in her smile from 12 to 20 (12 upper jaw / 8 lower jaw) to create a complete smile makeover.
Here’s what Alison had to say after her dental holiday with smile clinic in Slovakia:
“For 50 years I have been waiting for the smile I now have. Clinic staff lovely, Dr. Marek a genius of his trade. Clinic spotlessly clean – driver pick up and absolute bonus for service and arranging my accommodation. Fantastic!”


