Ian from the Liverpool area in the UK had a dental consultation with his dentist, and forwarded us the notes so that we could make a quote & treatment plan comparison for him.
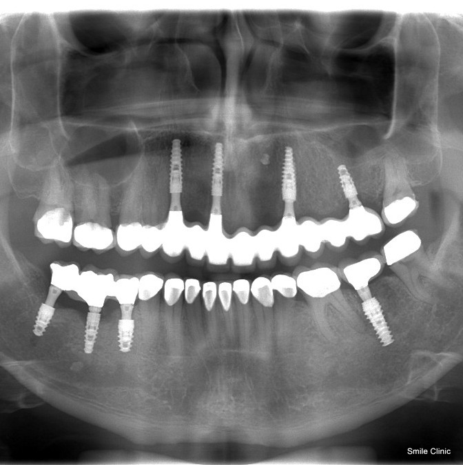
Ian immediately decided to come over to us and start treatment – 14 dental crowns and 8 dental implants. This is what Ian had to say about his “smile journey” through dental holiday:
Since my mid-teens I had broken chipped teeth. I had a bridge fitted in my early 20s which was broken in an accident.
I decided after doing much homework and research that the best place to visit was the Smile Clinic in Slovakia, after an initial consultation, they gave me a number of options. In just over 3 months I have gone from an embarrassing smile to a confident smile.
I would like to thank the team for their organisational skills, professional approach and reassurance throughout this life changing event.”
As you can see from the attached photographs, this smile reconstruction made a huge difference to his appearance and quality of life!




